+ 7(499)703-15-28

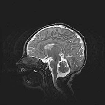
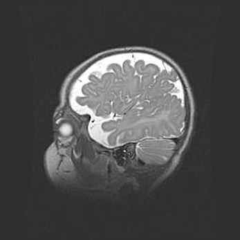
мрт снимки

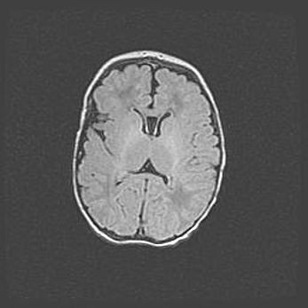
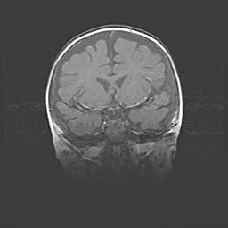
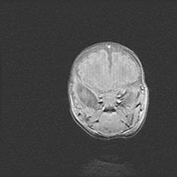
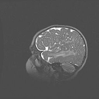
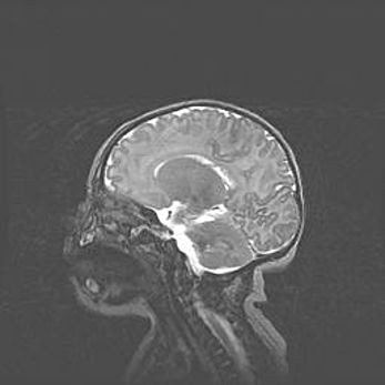
Ниже представлена  галерея МРТ снимков, полученных с применением LMT неонатальных матричных РЧ катушек. Также каждая группа МРТ снимков сопровождается информацией о пациенте (диагноз, возраст, вес, пол, срок гестации) и краткой сопроводительной расшифровкой диагноза.

 

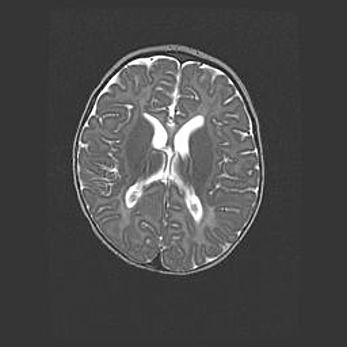
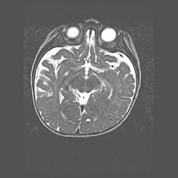
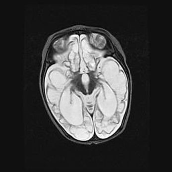
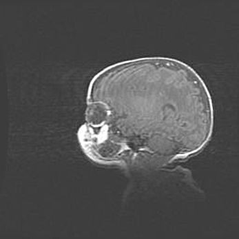
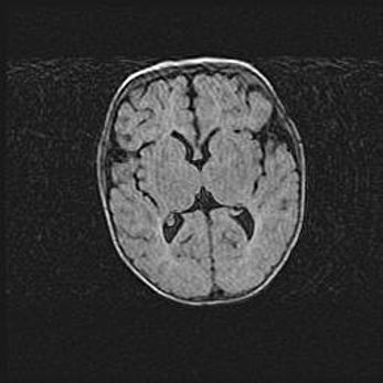
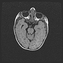
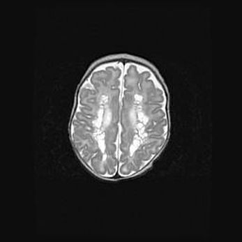
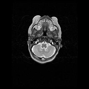
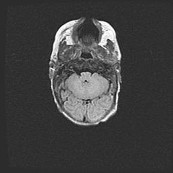
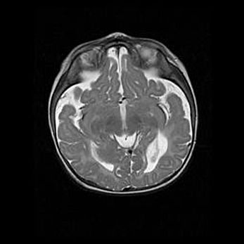
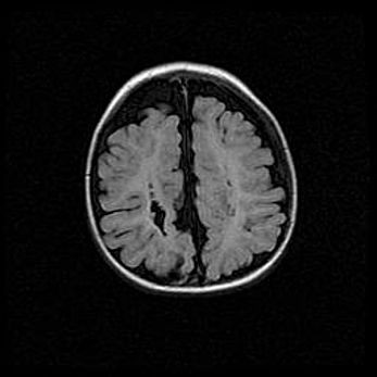
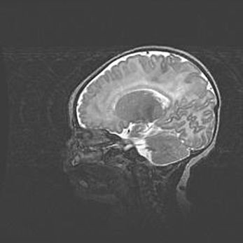
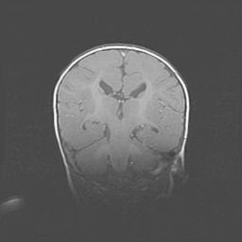
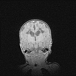
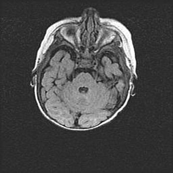
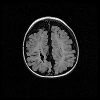
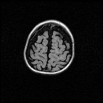
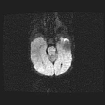
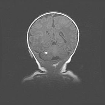
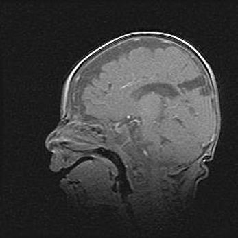
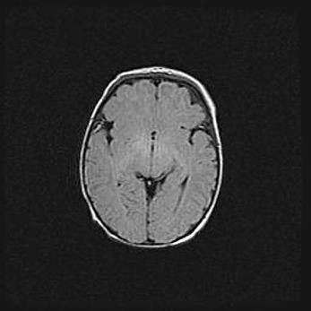
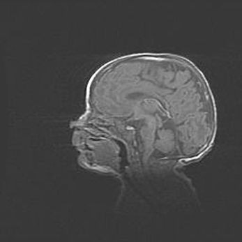
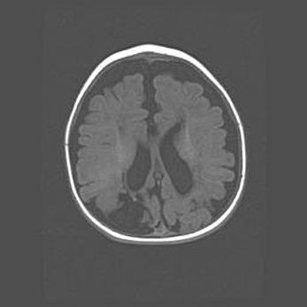
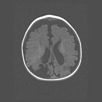
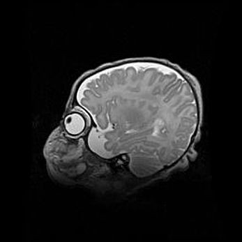
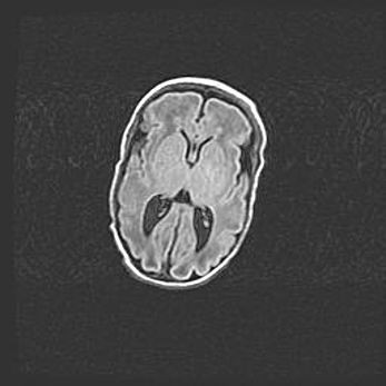
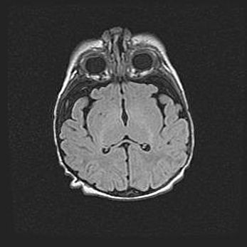
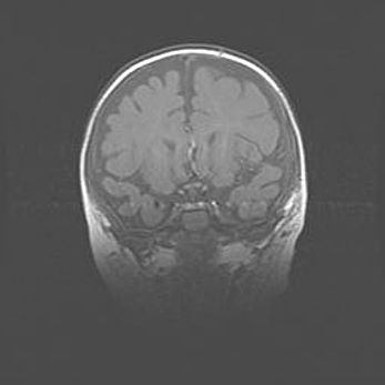
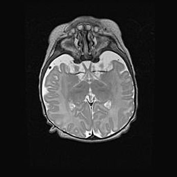
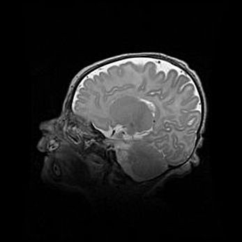
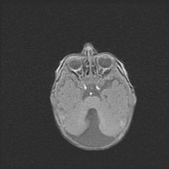
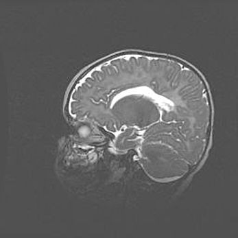
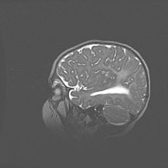
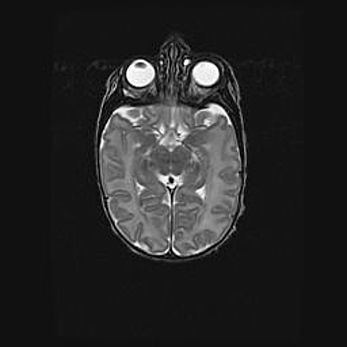
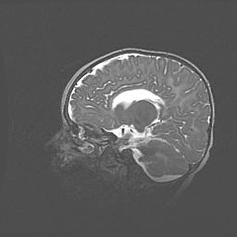
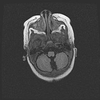
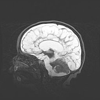
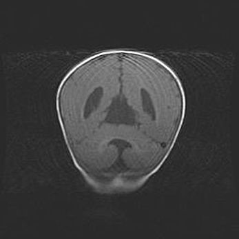
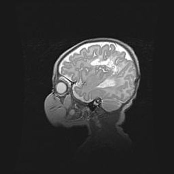
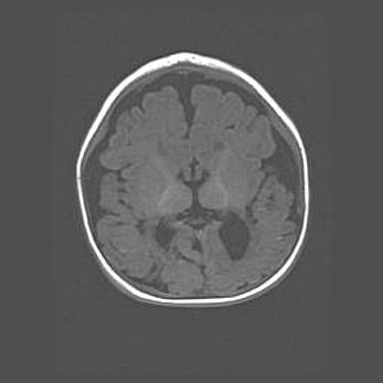
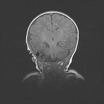
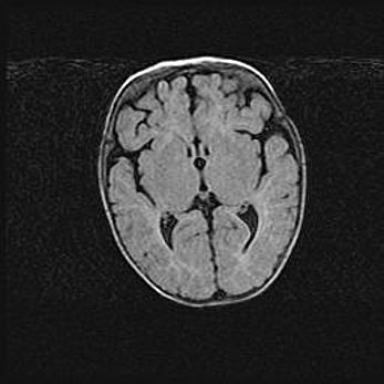
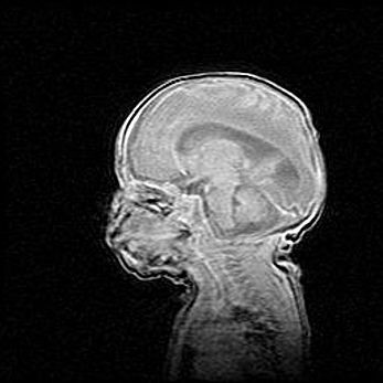
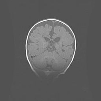
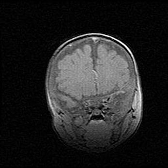
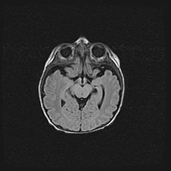
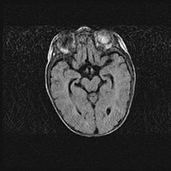
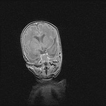
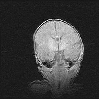
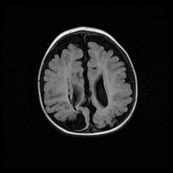
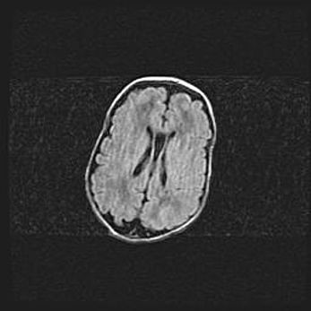
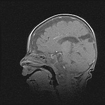
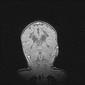
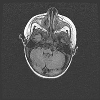
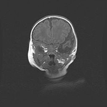
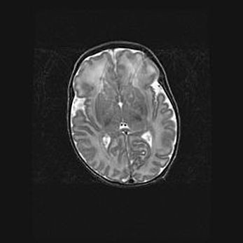
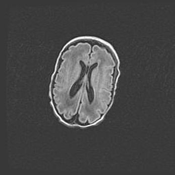
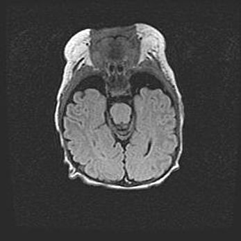
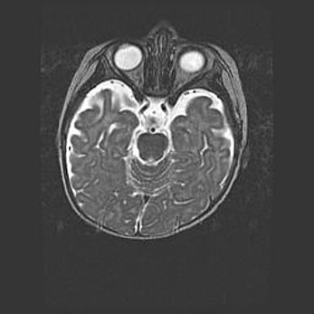
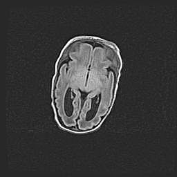
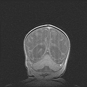
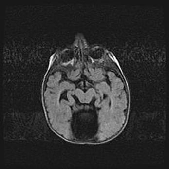
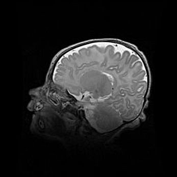
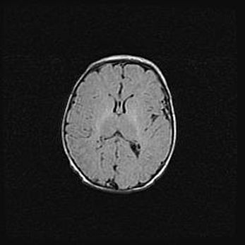
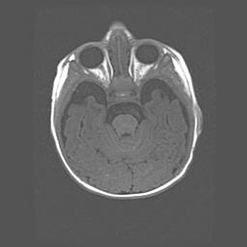
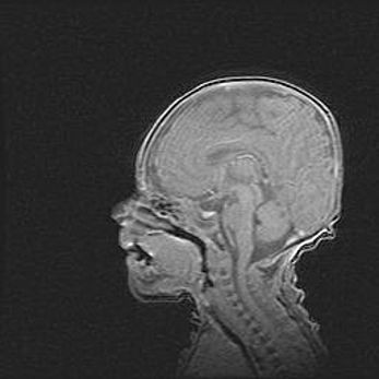
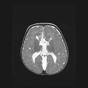
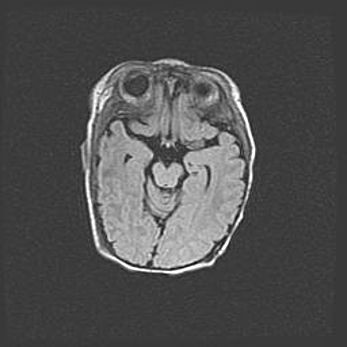
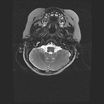
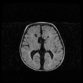
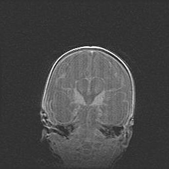
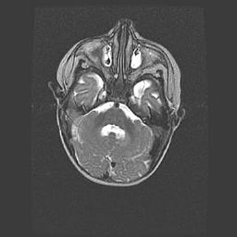
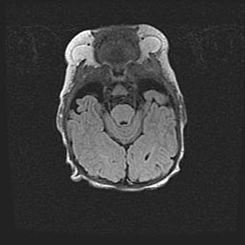
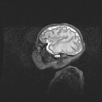
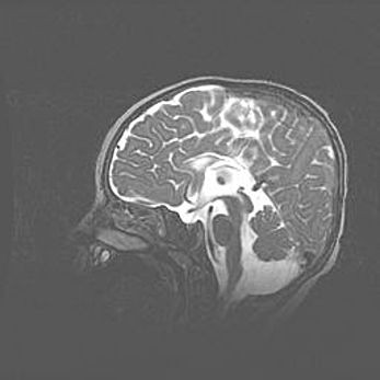
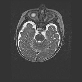
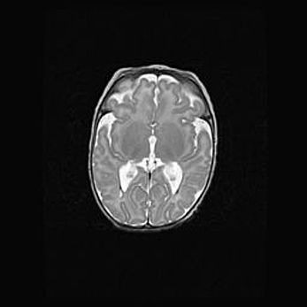
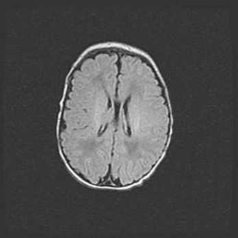
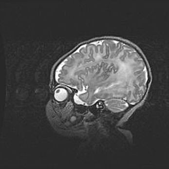
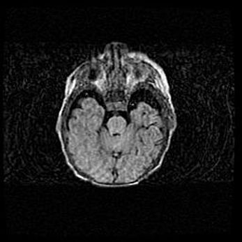
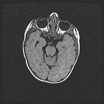
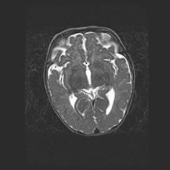
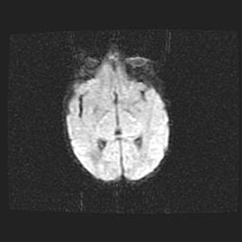
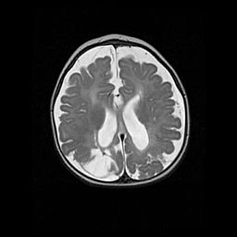
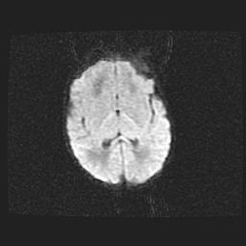
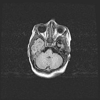
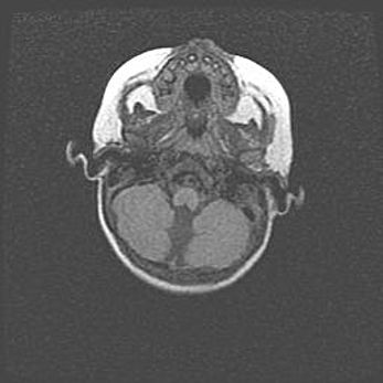
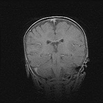
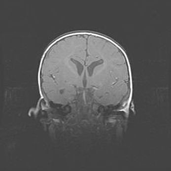
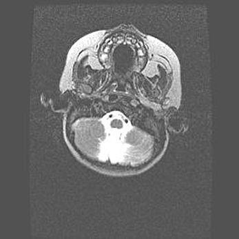
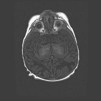
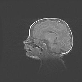
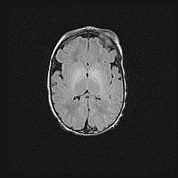
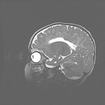
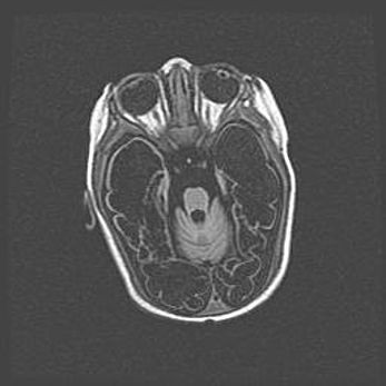
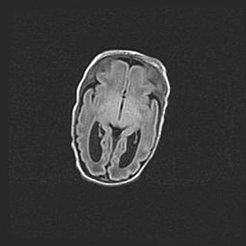
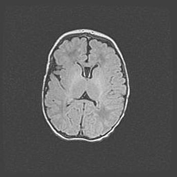
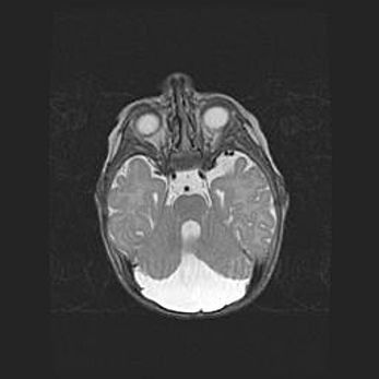
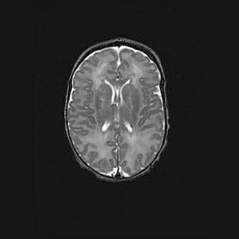
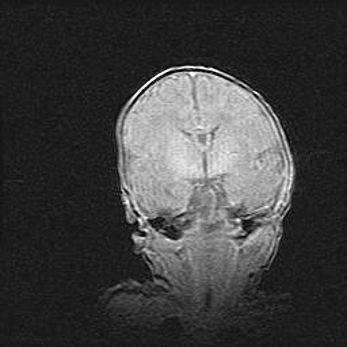
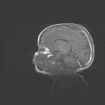
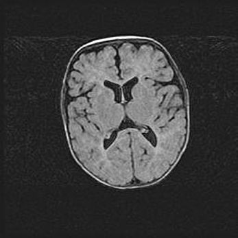
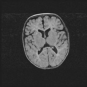
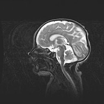
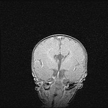
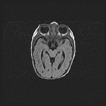
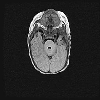
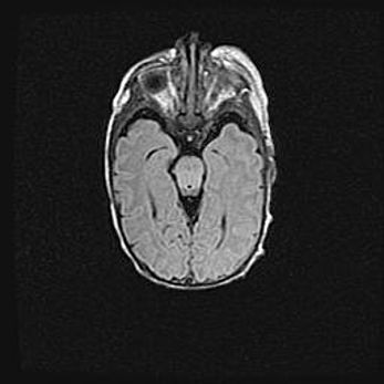
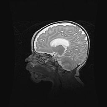
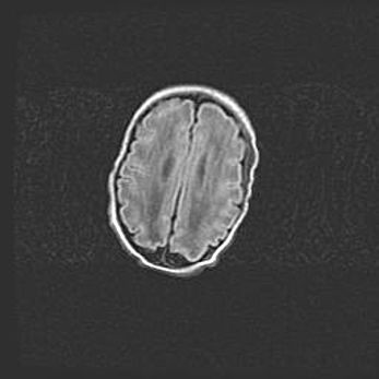
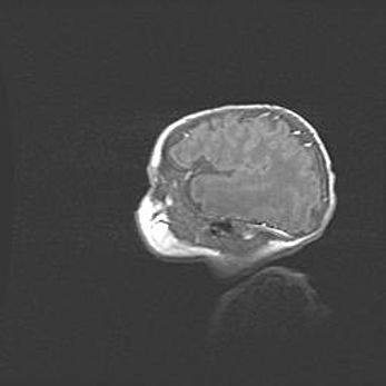
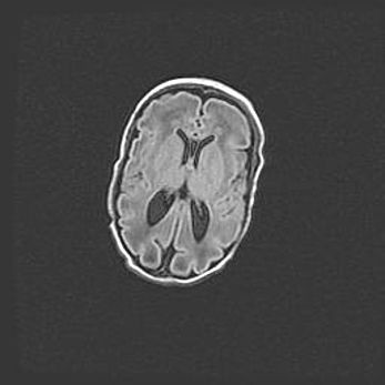
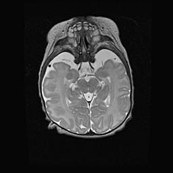
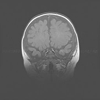
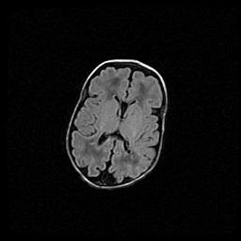
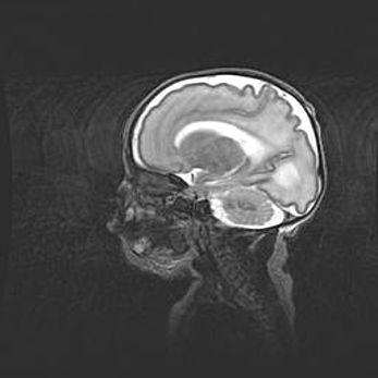
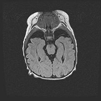
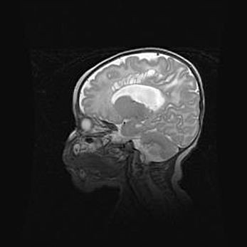
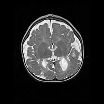
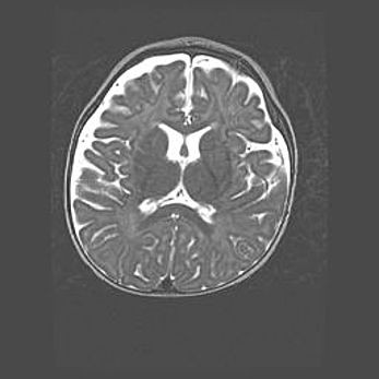
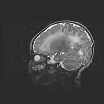
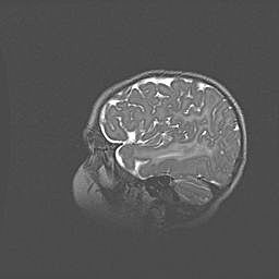
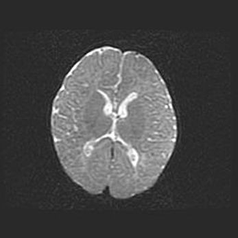
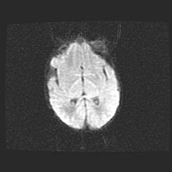
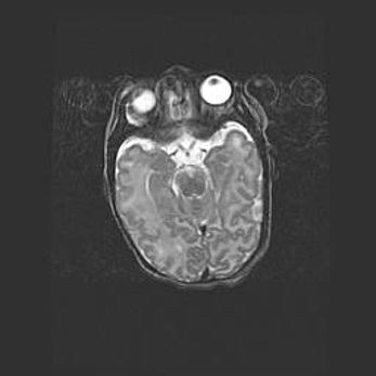
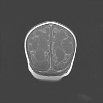
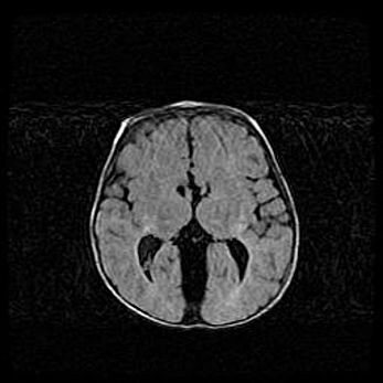
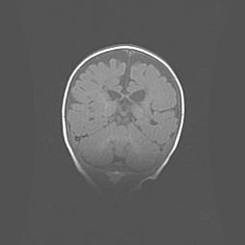
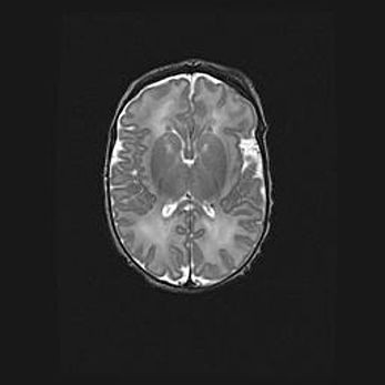
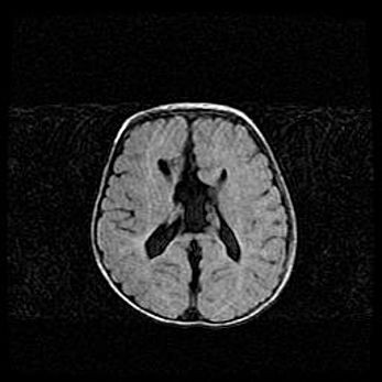
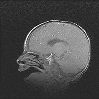
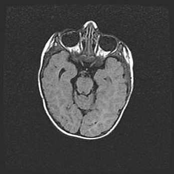
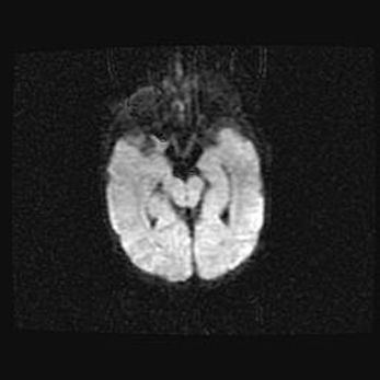
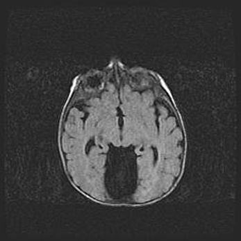
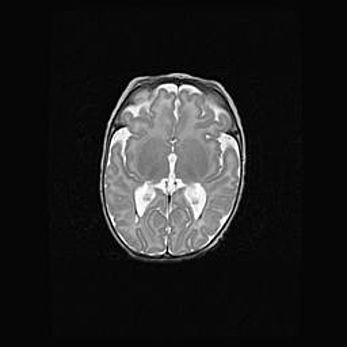
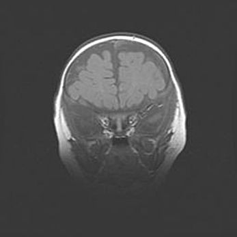
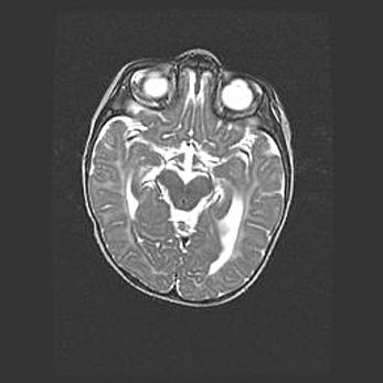
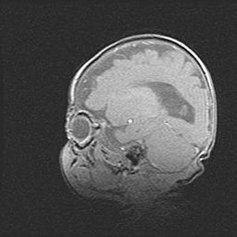
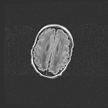
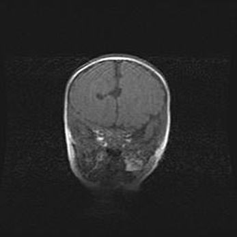
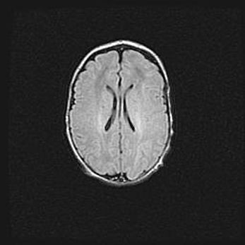
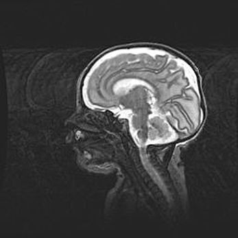
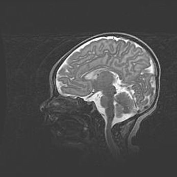
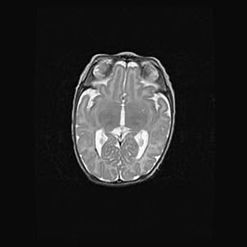
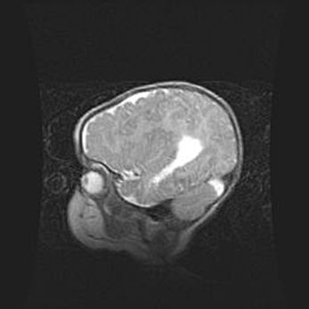
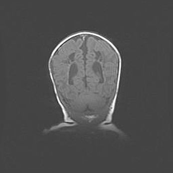
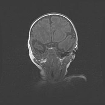
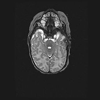
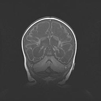
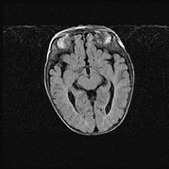
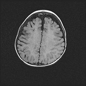
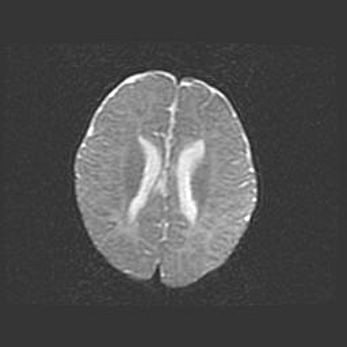
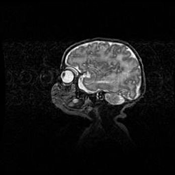
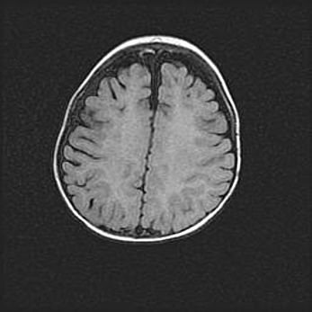
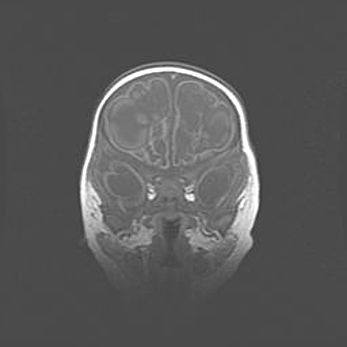
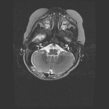
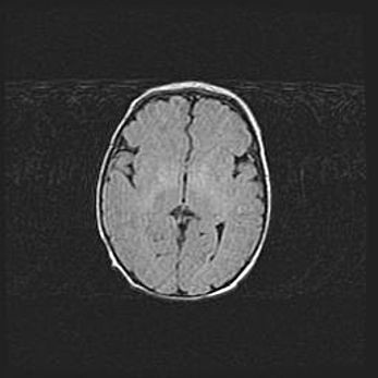
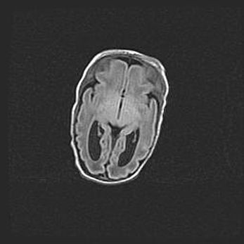
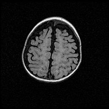
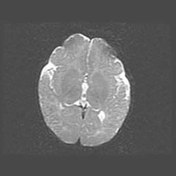
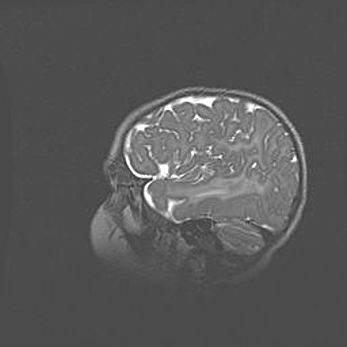
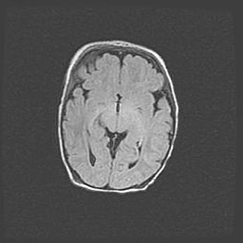
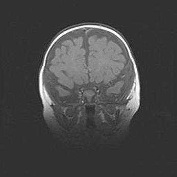
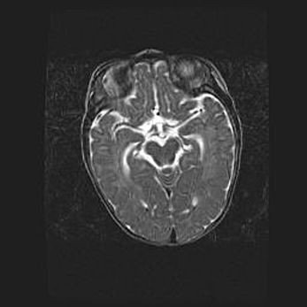
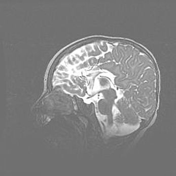
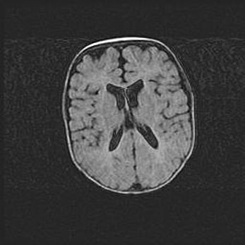
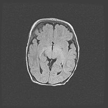
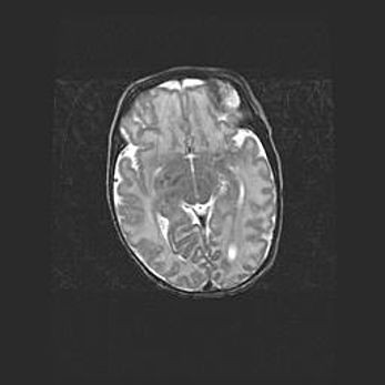
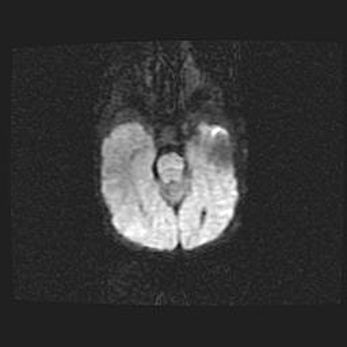
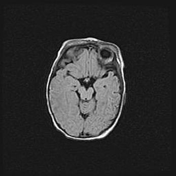
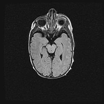
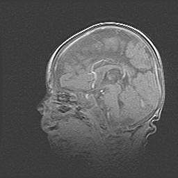
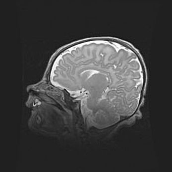
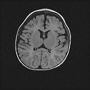
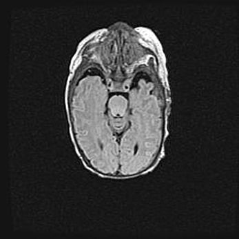
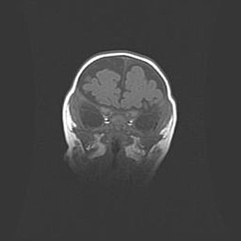
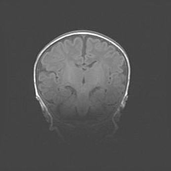
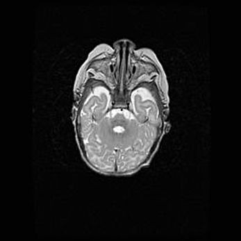
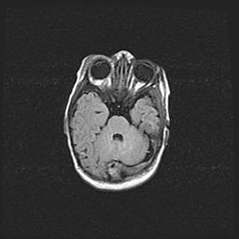
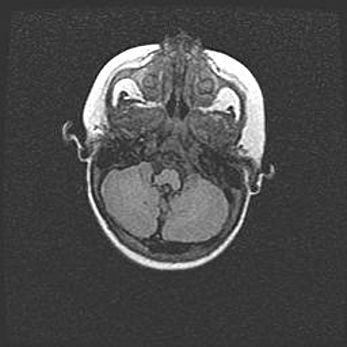
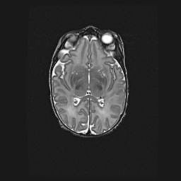
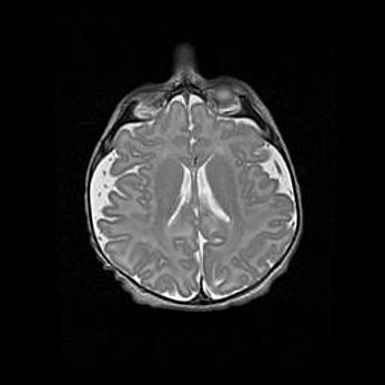
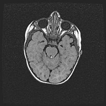
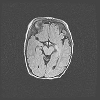
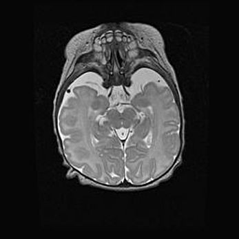
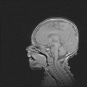
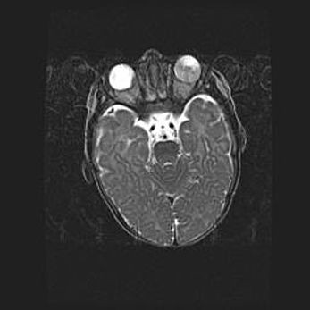
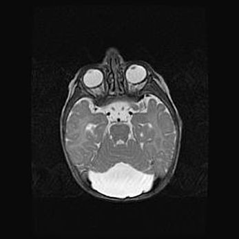
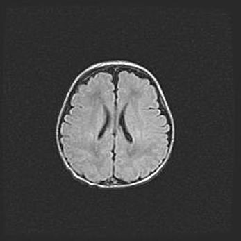
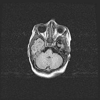
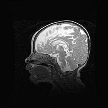
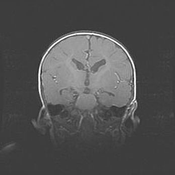
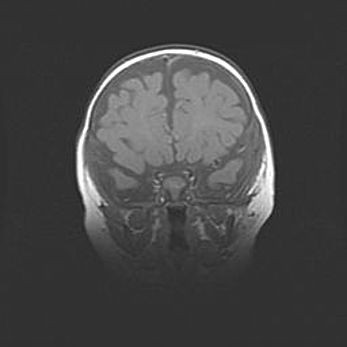
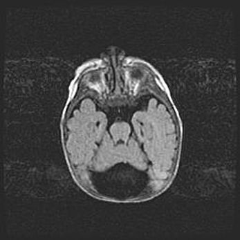
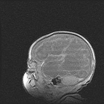
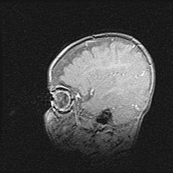
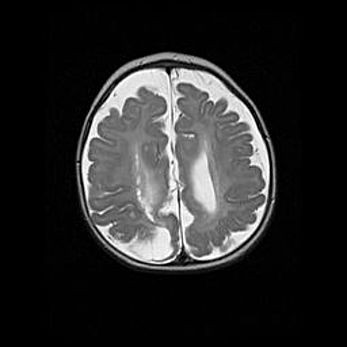
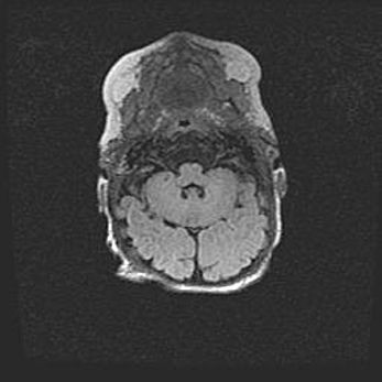
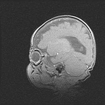
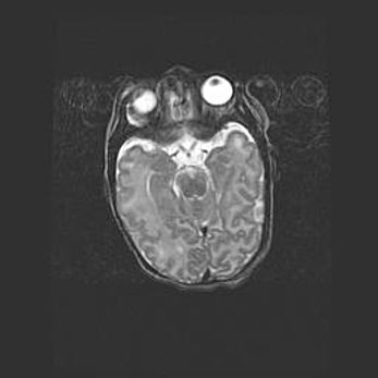
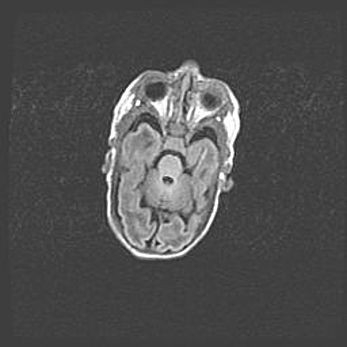
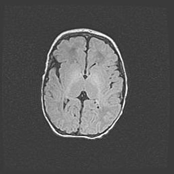
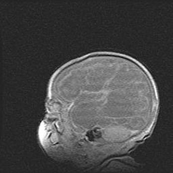
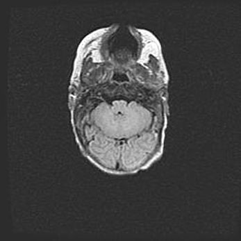
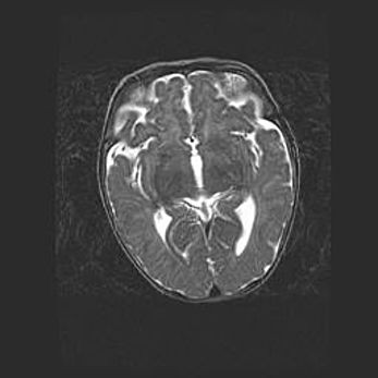
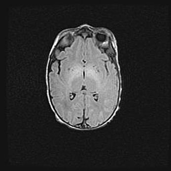
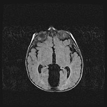
Церебральная ишемия II. 

Возраст: 5 дней                                         
Вес: 3400 г
Пол: женский                                             
Окружность головы: 35 см
Срок гестации: 39 недель

Церебральная ишемия – это заболевание, характеризующееся недостаточностью (гипоксией) либо полным прекращением (аноксией) снабжения мозга кислородом по причине закупорки одного или нескольких сосудов. Это приводит к  что метаболическим расстройствам различной степени тяжести в тканях головного мозга, развитию коагуляционных некрозов и гибели нейронов.

 
 

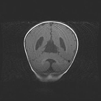
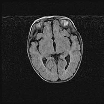
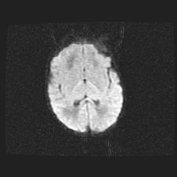
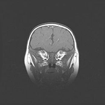
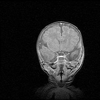
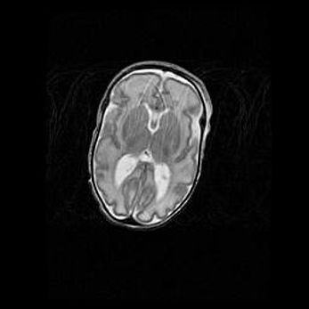
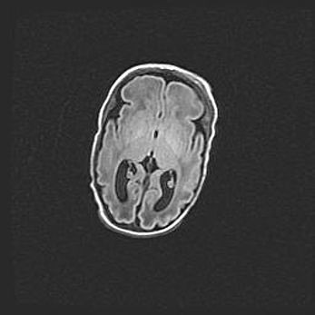
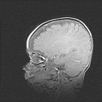
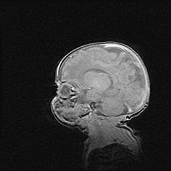
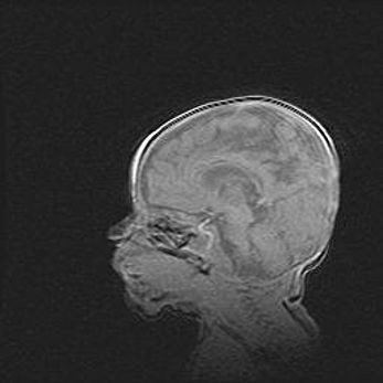
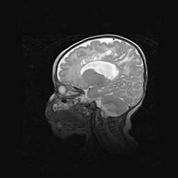
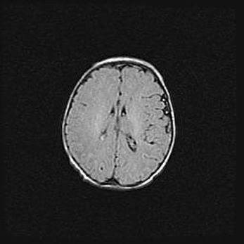
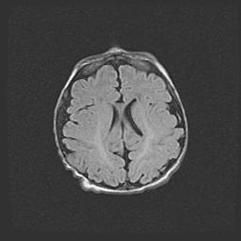
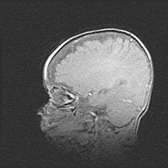
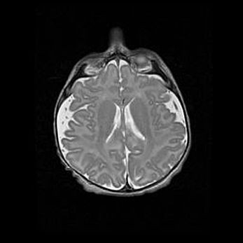
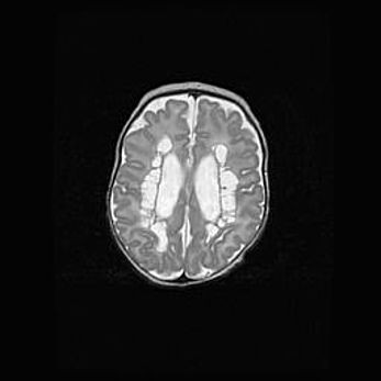
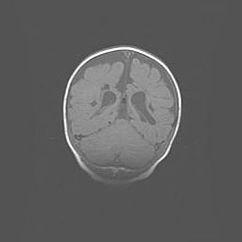
Лейкомаляция с кистозно-глиозной дегенерацией головного мозга.

Возраст: 2 месяца 25 дней                      
Вес: 6400 г
Окружность головы: 40 см
Срок гестации: 41 неделя

Лейкомаляцию относят к ишемически-гипоксическим повреждениям головного мозга, диагностируемым у новорожденных. При лейкомаляции в головном мозге обнаруживают очаги некроза, возникшие после тяжелой гипоксии и нарушения кровотока. В процессе морфогенеза очаги проходят три стадии: 1) развития некроза, 2) резорбции и 3) формирования глиозного рубца или кисты. Перивентрикулярная лейкомаляция (ПЛ) встречается примерно в 12% случаев среди новорожденных, обычно – у недоношенных детей, причем, частота ее зависит от массы, с которой младенец появился на свет. Наибольшее число малышей страдает лейкомаляцией, если масса при рождении 1500-2500 г.

 
 

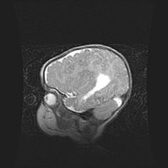
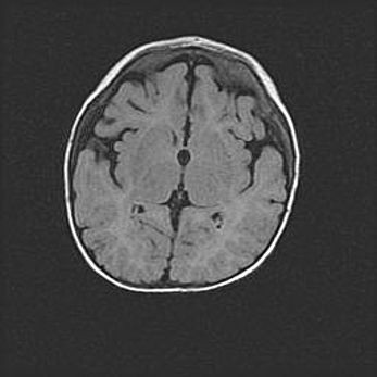
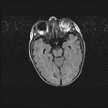
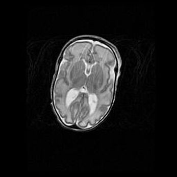
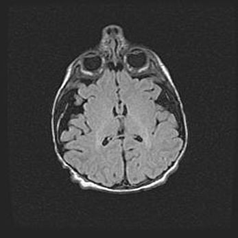
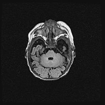
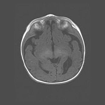
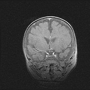
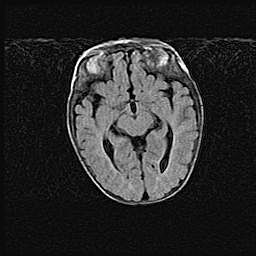
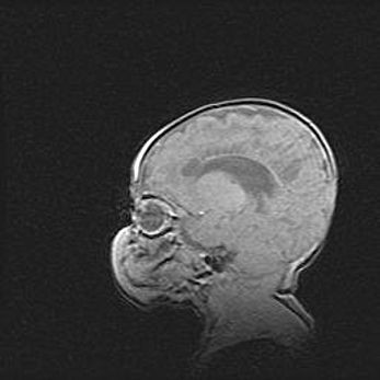
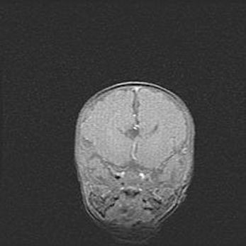
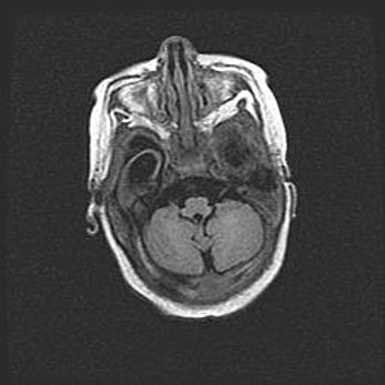
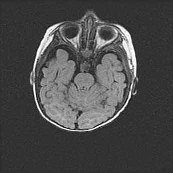
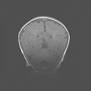
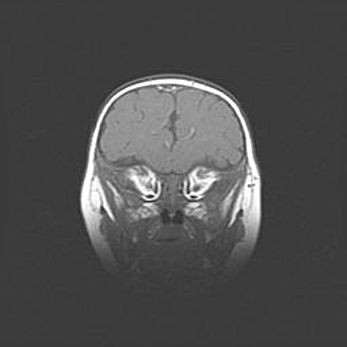
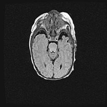
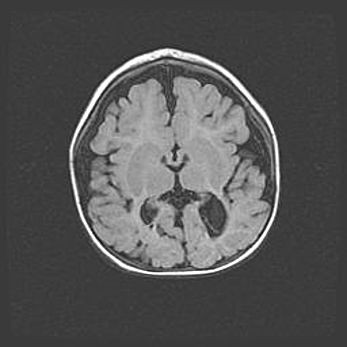
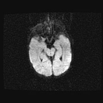
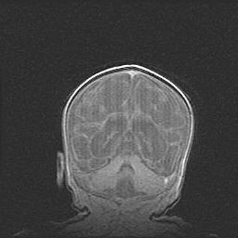
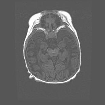
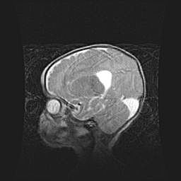
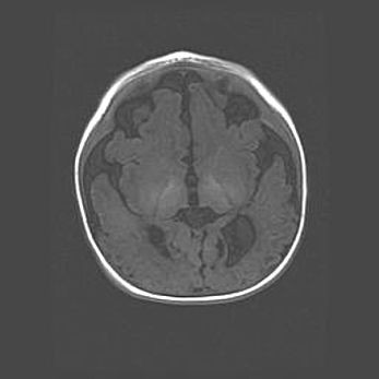
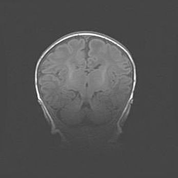
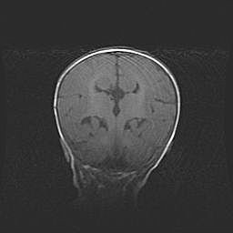
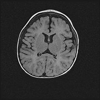
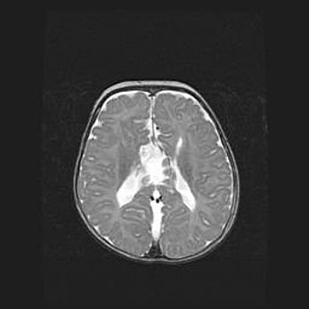
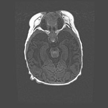
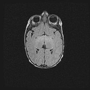
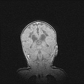
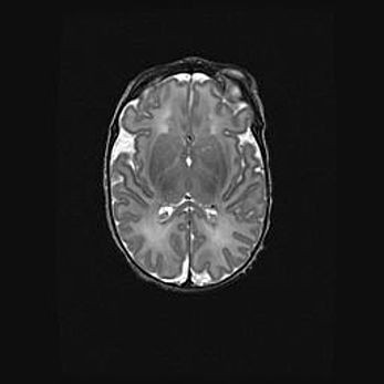
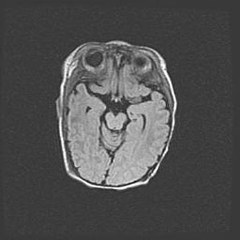
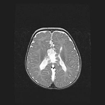
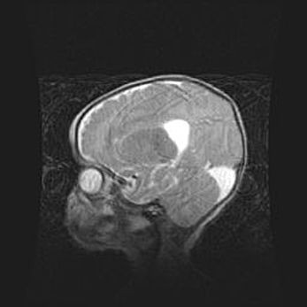
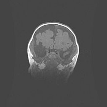
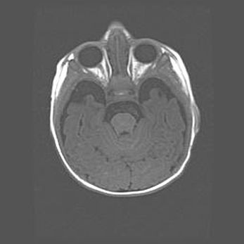
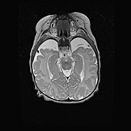
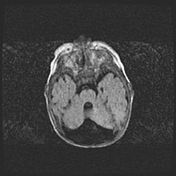
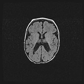
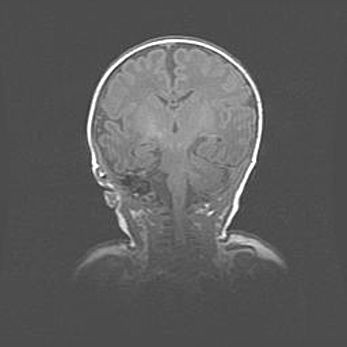
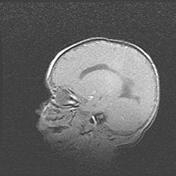
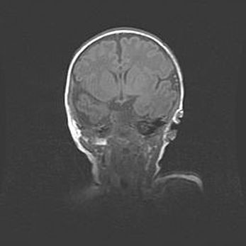
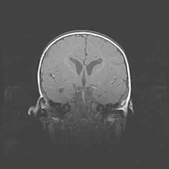
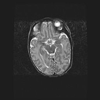
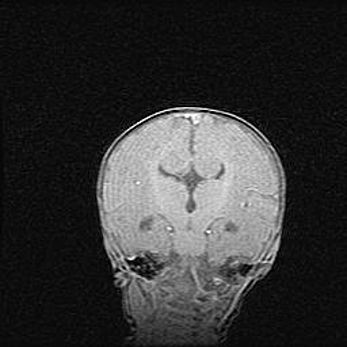
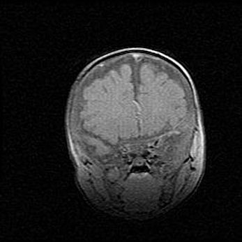
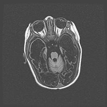
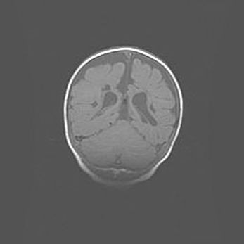
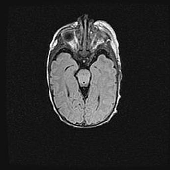
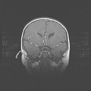
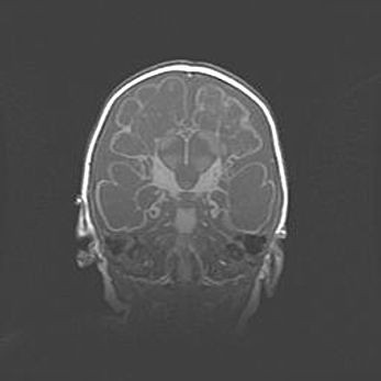
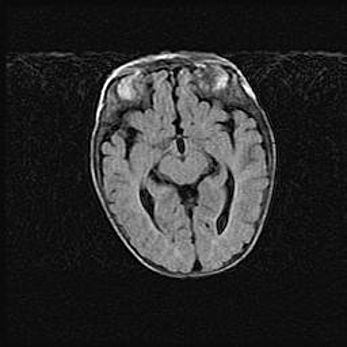
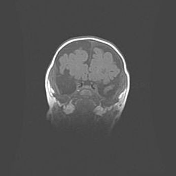
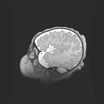
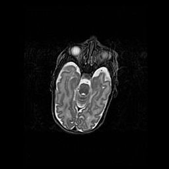
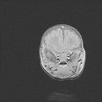
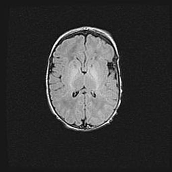
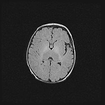
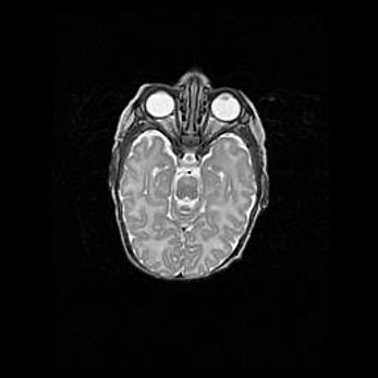
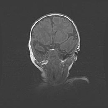
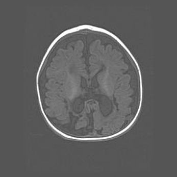
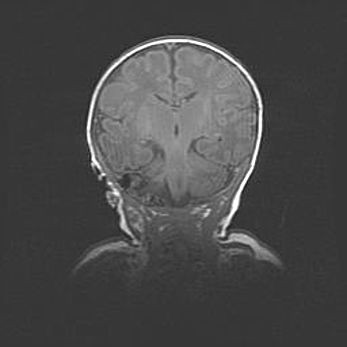
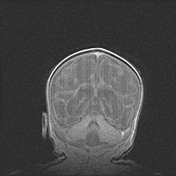
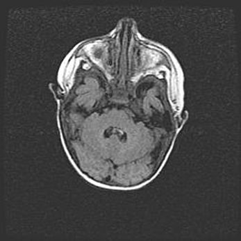
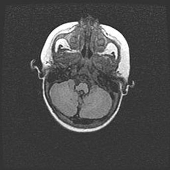
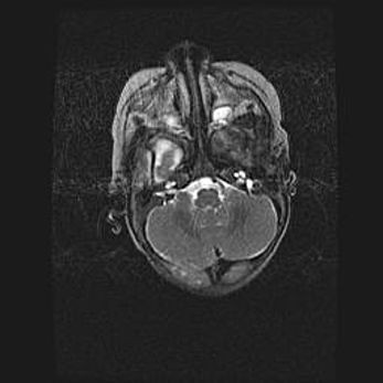
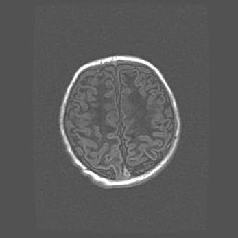
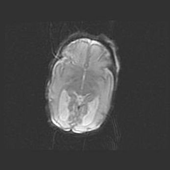
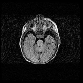
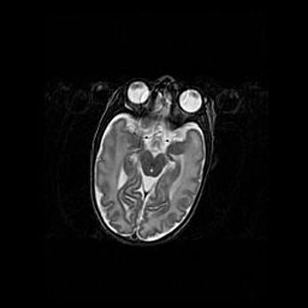
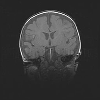
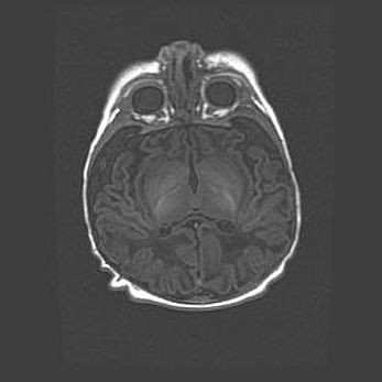
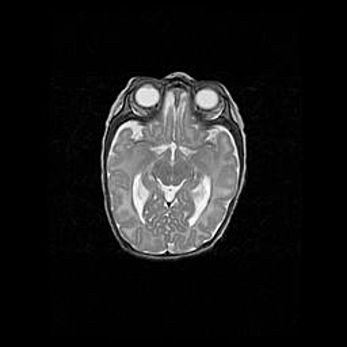
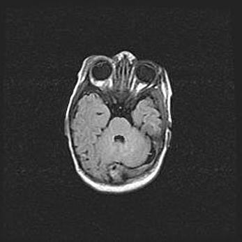
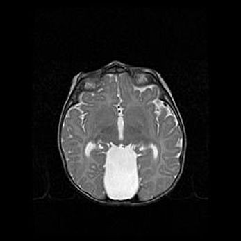
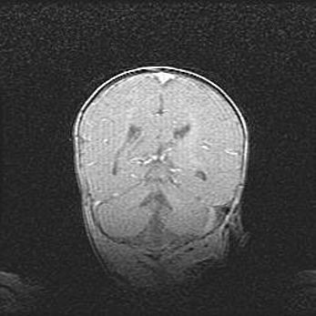
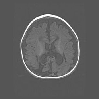
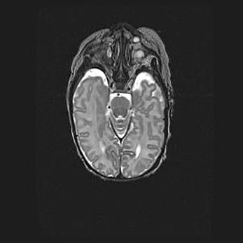
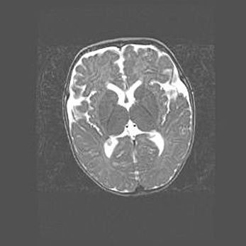
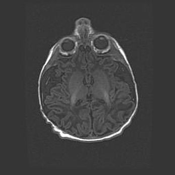
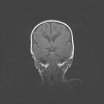
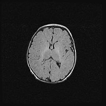
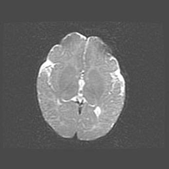
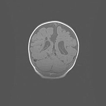
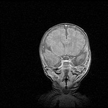
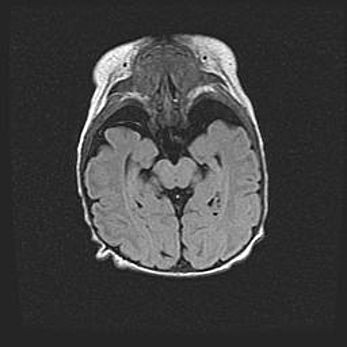
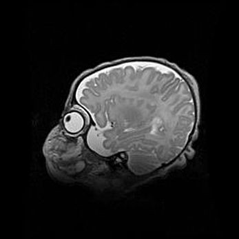
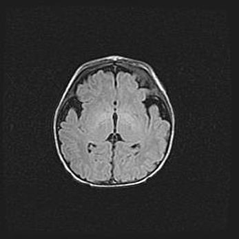
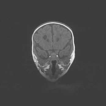
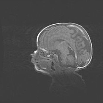
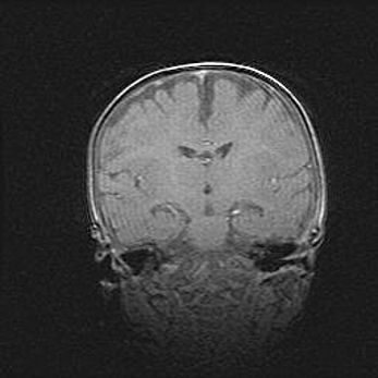
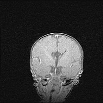
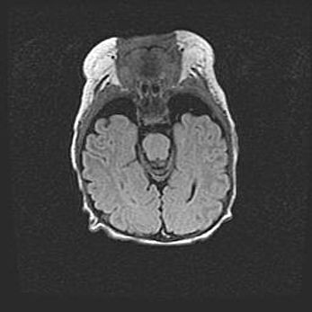
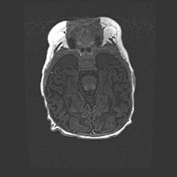
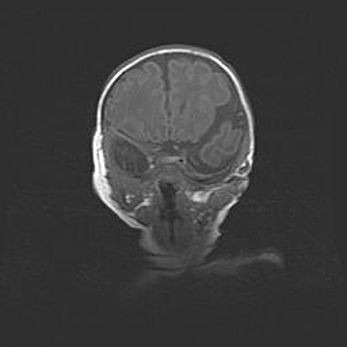
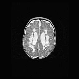
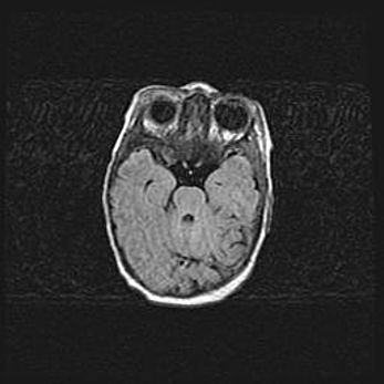
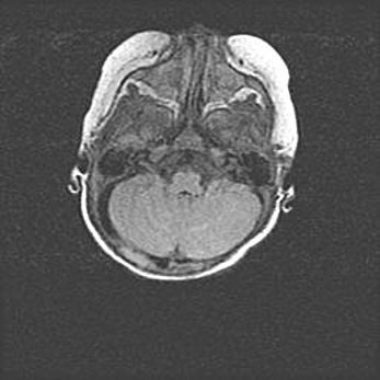
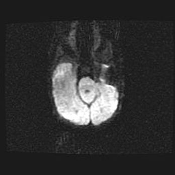
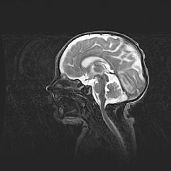
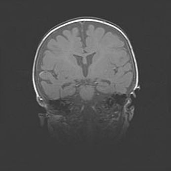
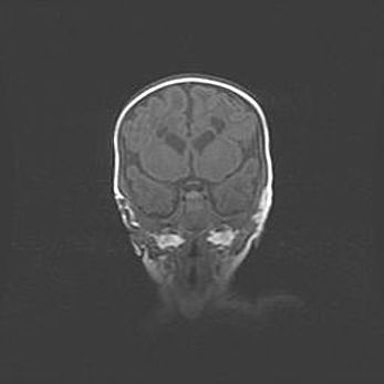
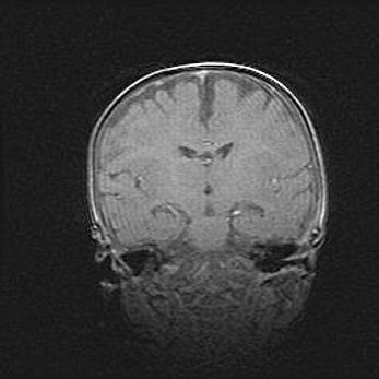
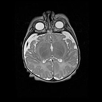
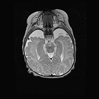
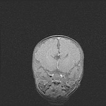
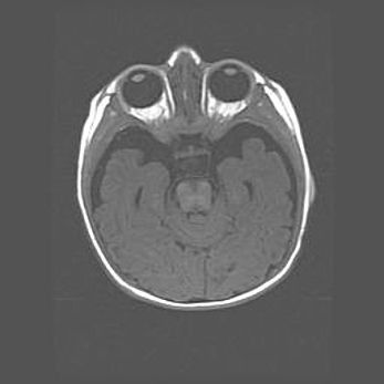
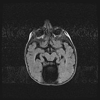
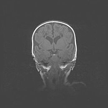
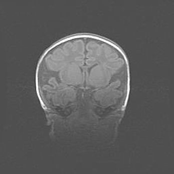
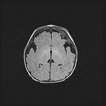
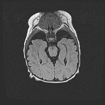
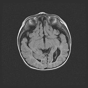
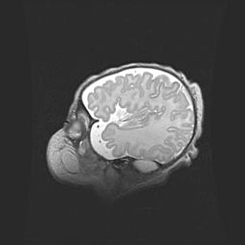
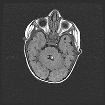
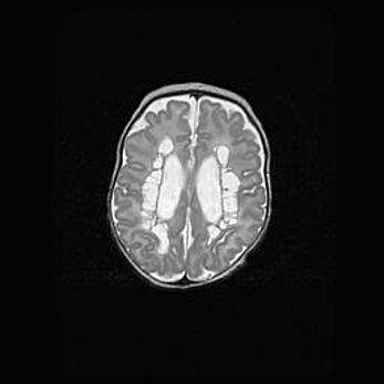
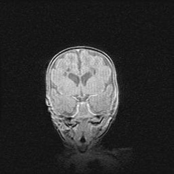
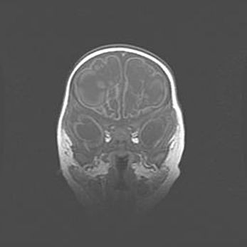
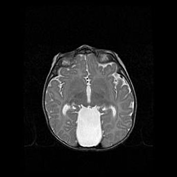
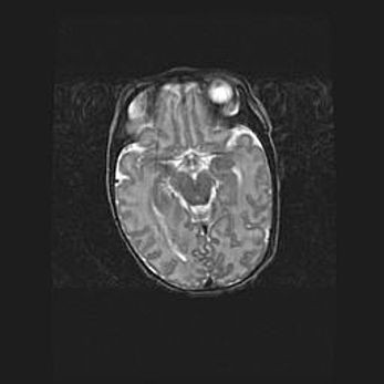
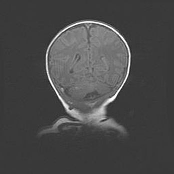
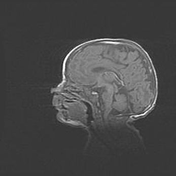
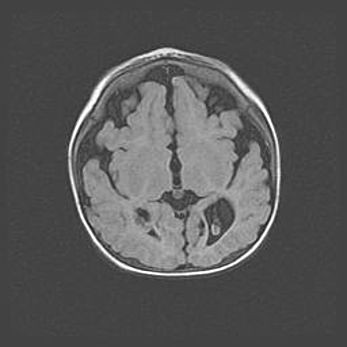
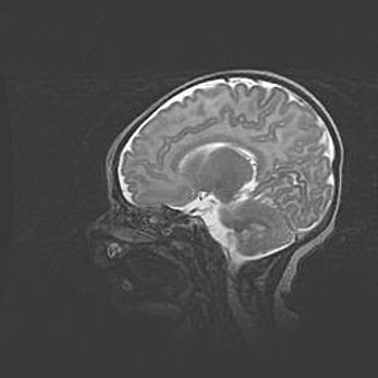
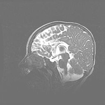
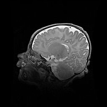
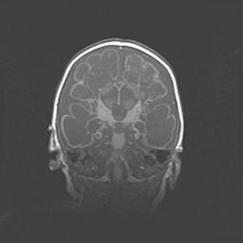
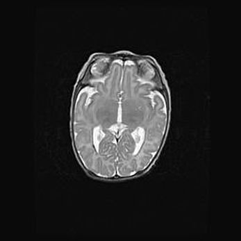
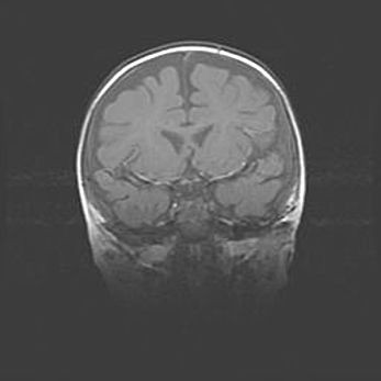
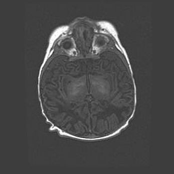
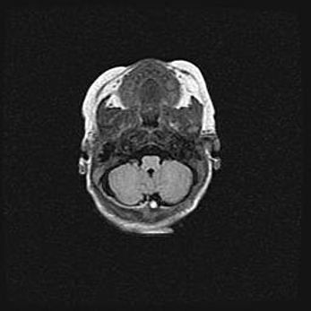
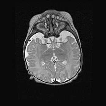
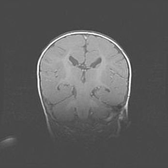
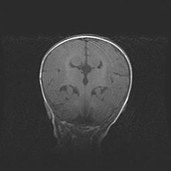
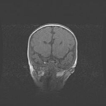
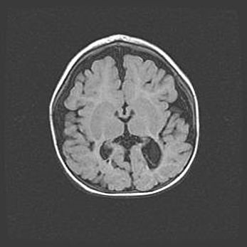
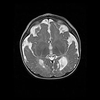
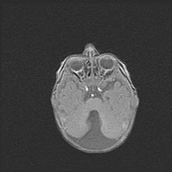
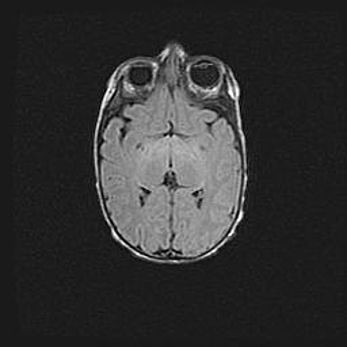
Наружная гидроцефалия с возможной атрофией височных областей.

Возраст: 28 дней                                        
Вес: 3670 г
Пол: мужской                                             
Окружность головы: 38 см
Срок гестации: 40 недель

Гидроцефалия головного мозга у новорожденных – это заболевание, которое характеризуется скоплением избыточного количества спинномозговой жидкости в желудочковой системе головного мозга в результате затруднения её перемещения от места выработки к месту поглощения в кровеносную систему или вследствие нарушения абсорбции. При открытой наружной форме гидроцефалии у новорожденных расширяются и переполняются субарахноидные пространства.
При нормотензивных  формах,  которые,  как  правило,  являются  следствием  перенесенных ишемических  повреждений  паренхимы  мозга,  возможно  сочетание микроцефалии  с нормотензивной гидроцефалией. В основе данных изменений лежит атрофия больших полушарий с преимущественной  локализацией  в  лобно-височных  областях.

 
 

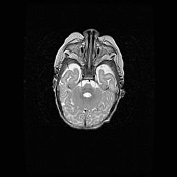
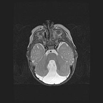
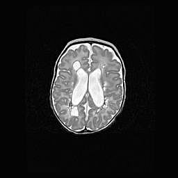
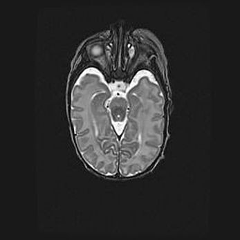
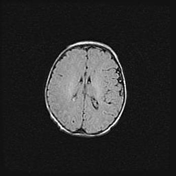
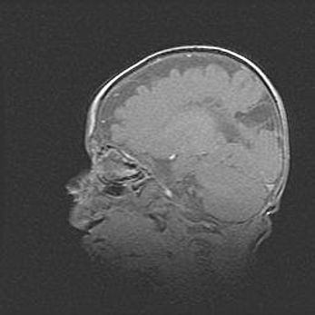
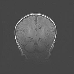
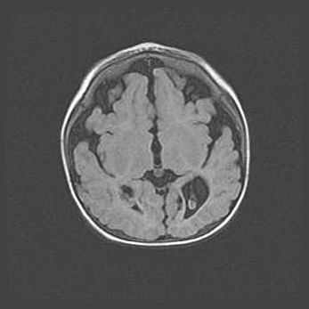
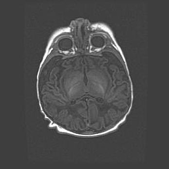
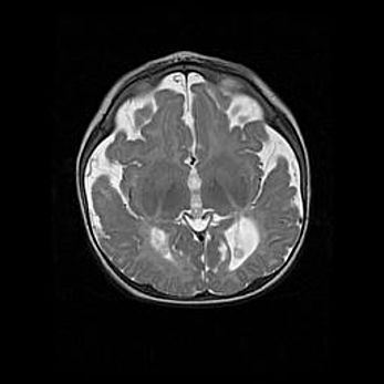
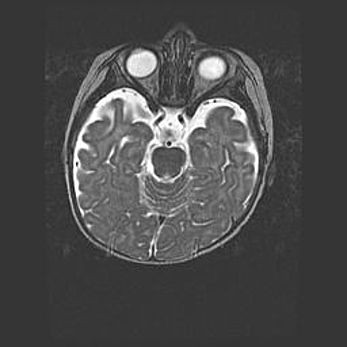
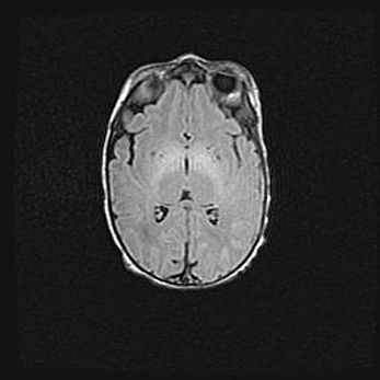
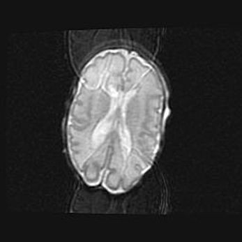
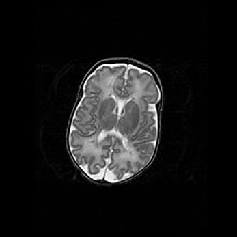
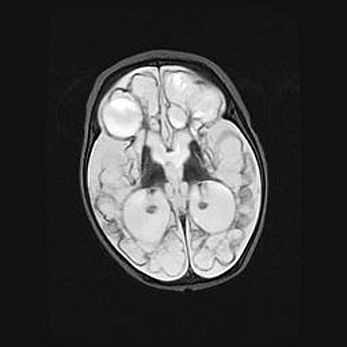
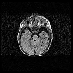
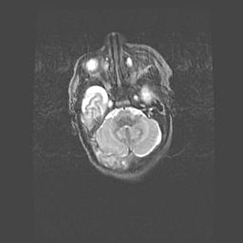
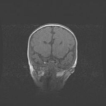
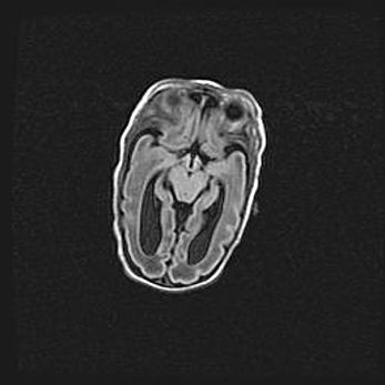
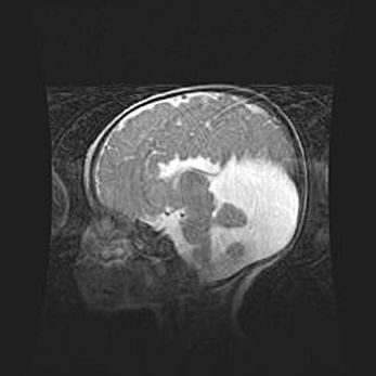
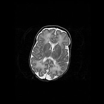
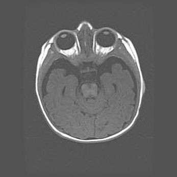
Множественные кисты обоих полушарий головного мозга, наибольшая из них в правой затылочной области. Ассиметричная атрофическая гидроцефалия.

Возраст: 7 месяцев                                        
Вес: 5660 г
Пол: мужской                                                  
Окружность головы: 41,5 см
Срок гестации: 28-29 недель

Кисты головного мозга развиваются в результате многоочаговых некрозов вещества мозга и возникают вследствие перенесенной перинатальной инфекции, менингитов, энцефалитов, асфиксии, родовой травмы, расстройств мозгового кровообращения различного генеза. Образованию кист в веществе головного мозга плодов и новорожденных способствуют такие факторы, как высокое содержание в нем воды, недостаточная (или отсутствие) миелинизация и слабая астроглиальная реакция на повреждение.
Кисты могут сочетаться с гидроцефалией и другими поражениями головного мозга.

 
 

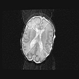
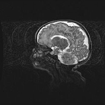
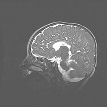
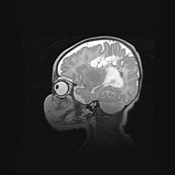
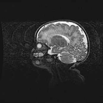
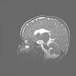
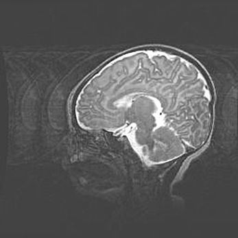
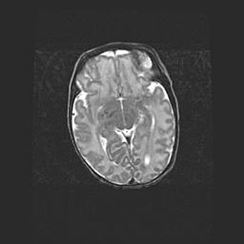
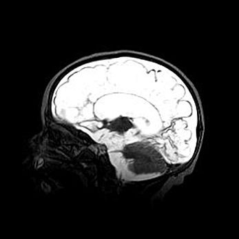
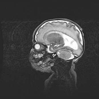
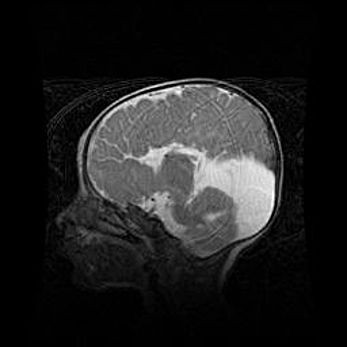
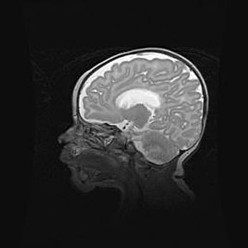
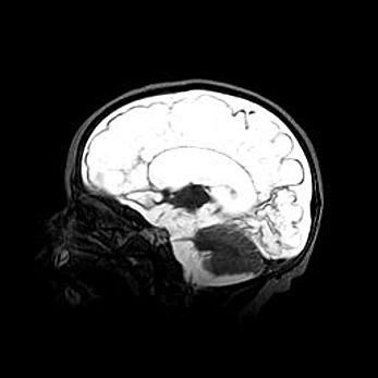
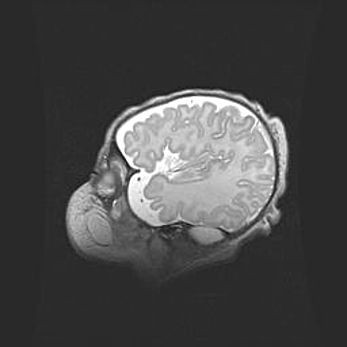
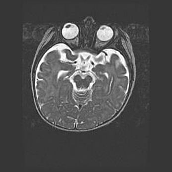
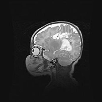
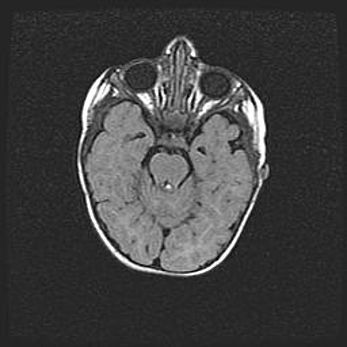
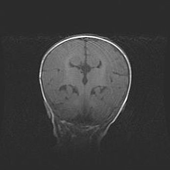
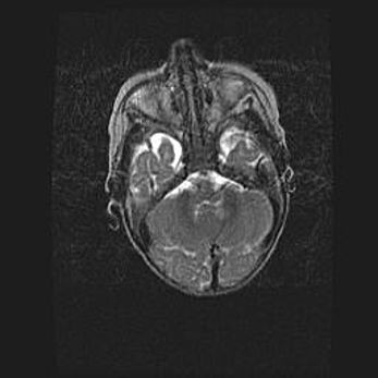
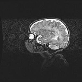
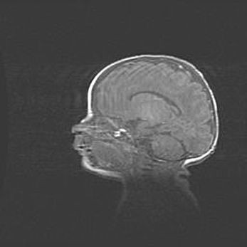
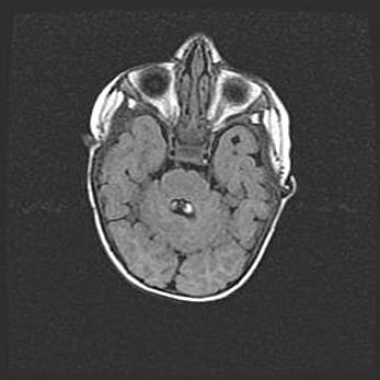
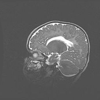
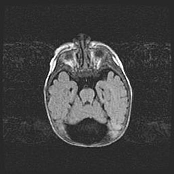
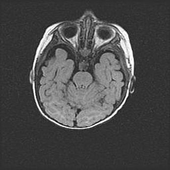
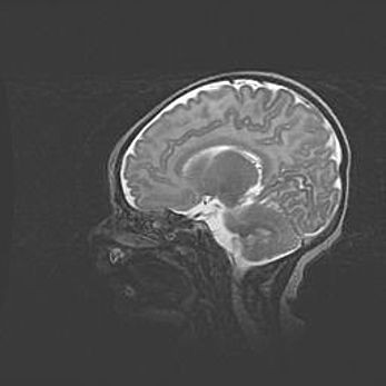
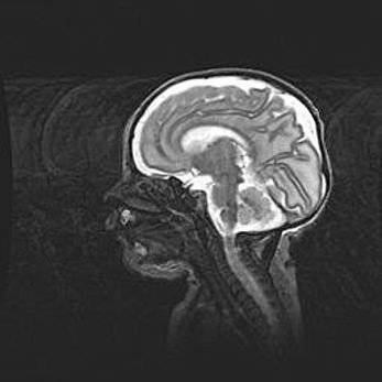
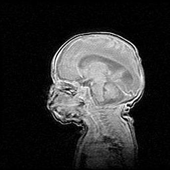
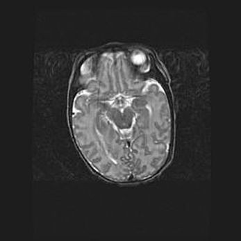
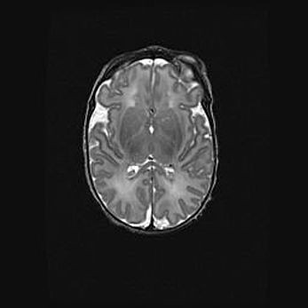
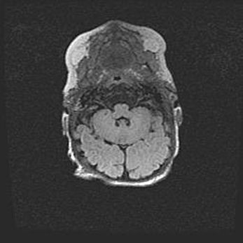
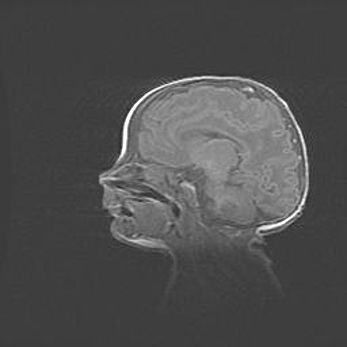
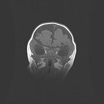
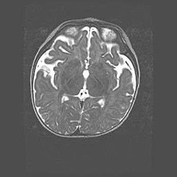
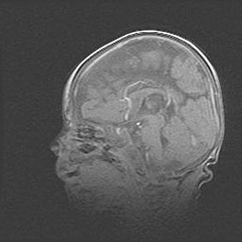
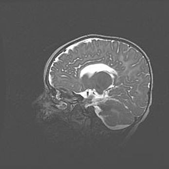
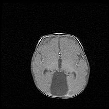
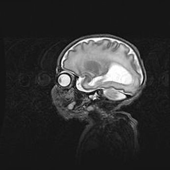
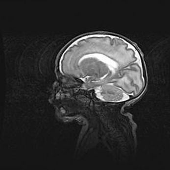
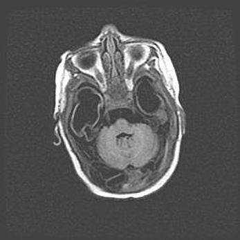
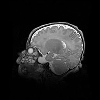
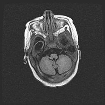
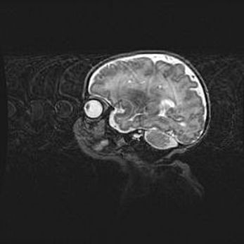
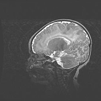
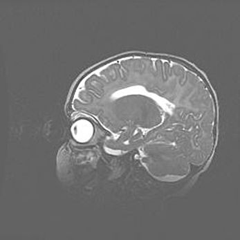
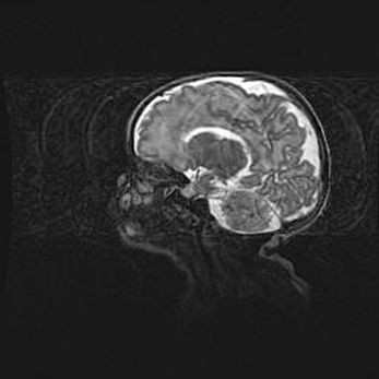
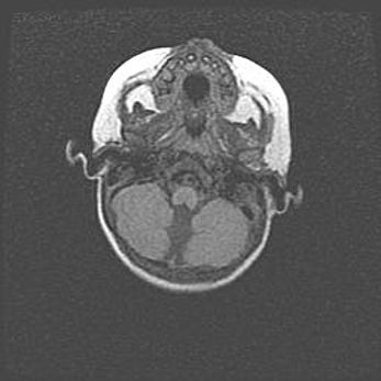
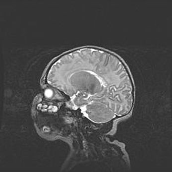
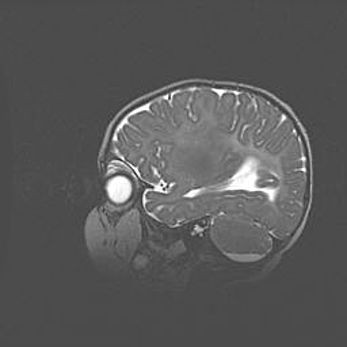
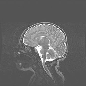
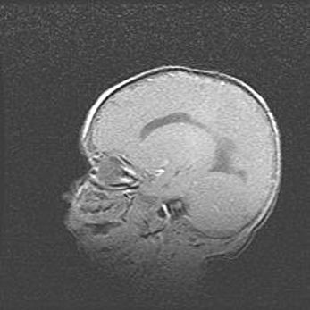
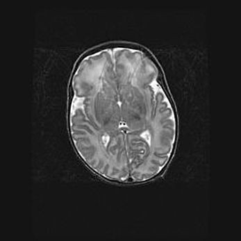
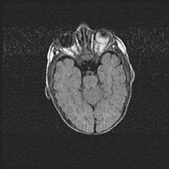
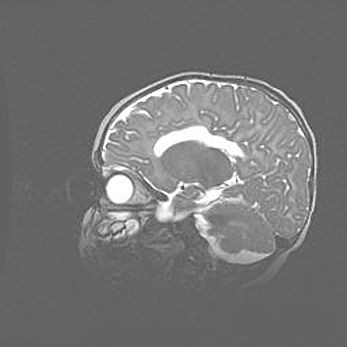
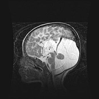
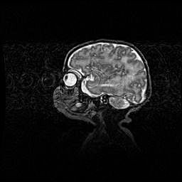
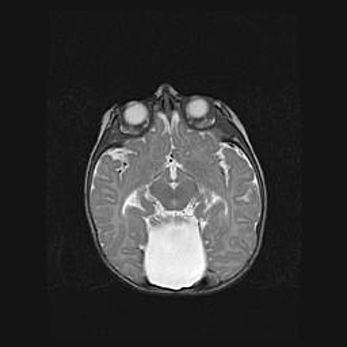
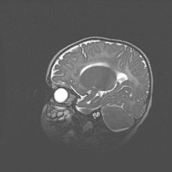
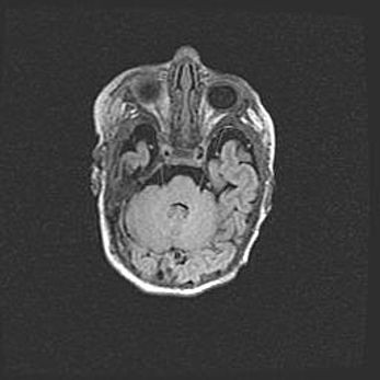
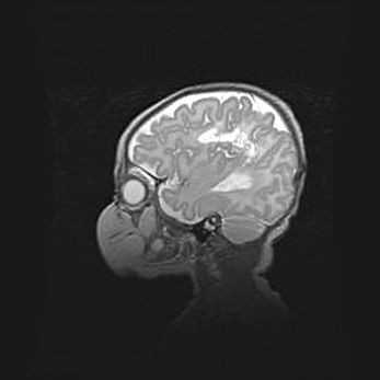
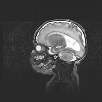
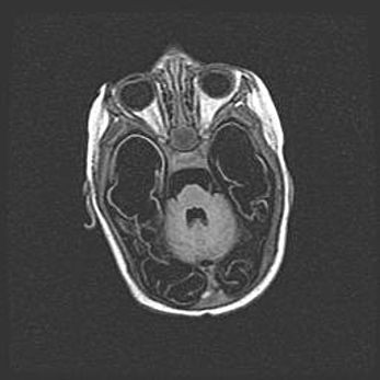
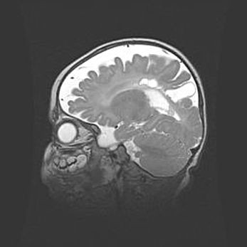
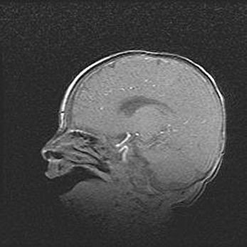
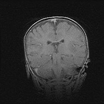
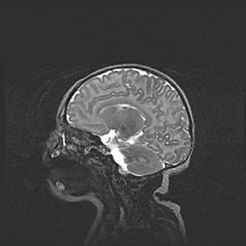
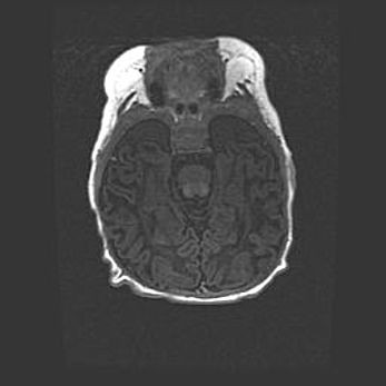
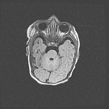
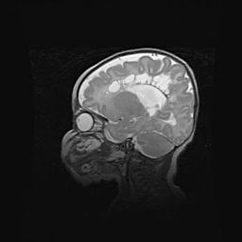
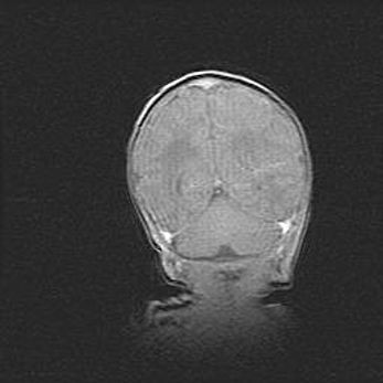
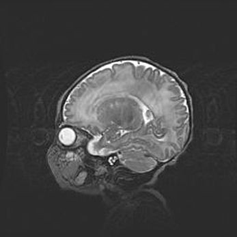
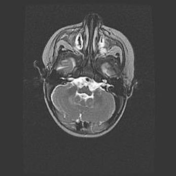
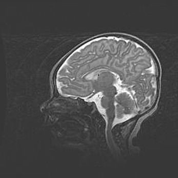
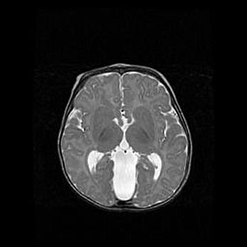
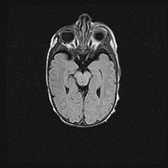
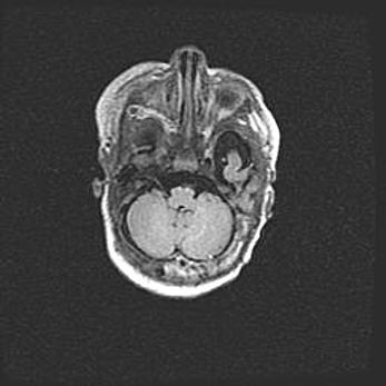
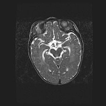
Аномалия Денди-Уокера. Признаки гипоплазии мозолистого тела.        

Возраст: 5 месяцев 3 дня                              
Вес: 5550 г
Пол: мужской                                                  
Окружность головы: 39 см
Срок гестации: 40 недель

Аномалия Денди-Уокера – это порок развития головного мозга, для которого характерна триада симптомов: гипотрофия или аплазия червя мозжечка и/или полушарий мозжечка, расширение четвёртого желудочка с формированием ликворной кисты задней черепной ямки, гипертензионная гидроцефалия различной степени.
Гипоплазия мозолистого тела относится к дефектам внутриутробного этапа развития мозговой ткани, возникающим в процессе закладки структур головного мозга, что происходит на начальных этапах развития эмбриона.

 
 

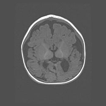
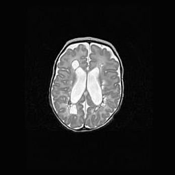
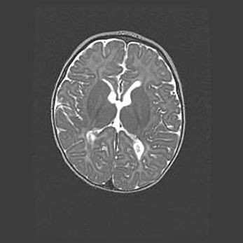
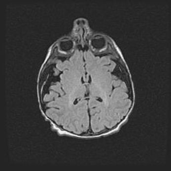
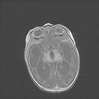
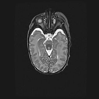
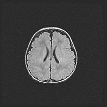
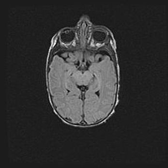
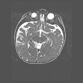
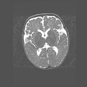
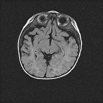
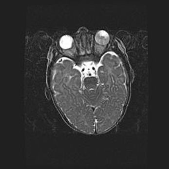
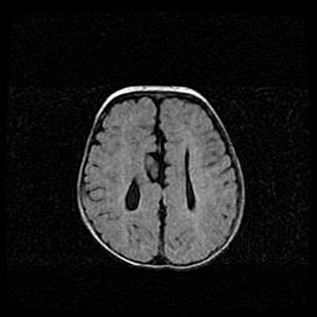
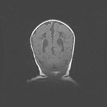
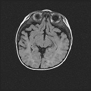
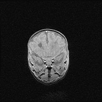
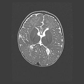
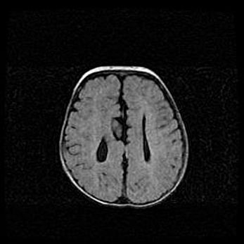
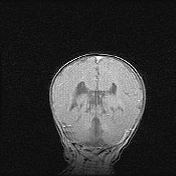
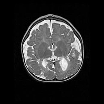
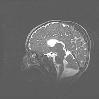
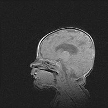
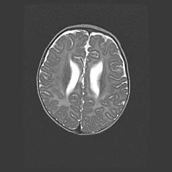
Множественные мелкие кисты перивентрикулярной области. 
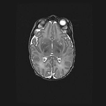
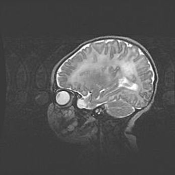
Киста прозрачной перегородки.

Возраст: 28 дней                                       
Вес: 2400 г
Пол: женский                                             
Окружность головы: 33 см
Срок гестации: 34 недели

Перивентрикулярная киста – это полостное образование в околожелудочковых областях белового вещества головного мозга. С морфологической точки зрения – это мелкоочаговая зона коагуляционного некроза, возникшая после инфаркта белого вещества. Наиболее часто поражаются начальные отделы задних рогов боковых желудочков. Обычно образования заполнены жидкостным содержимым.
Киста прозрачной перегородки может располагаться в переднем отделе межжелудочковой перегородки, в области мозолистого тела и мозжечка.

 
 

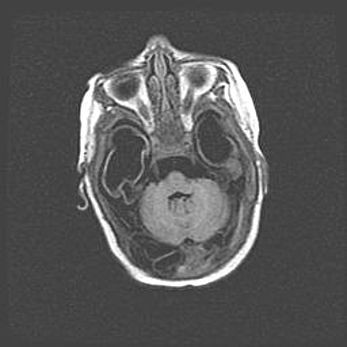
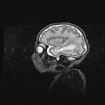
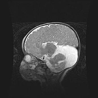
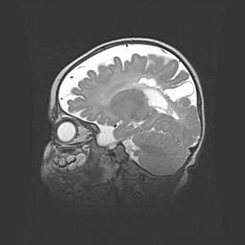
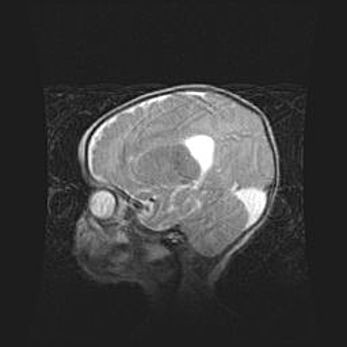
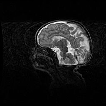
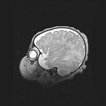
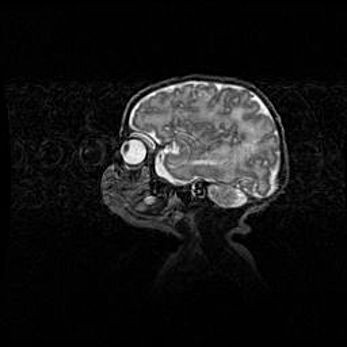
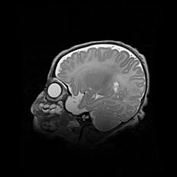
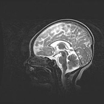
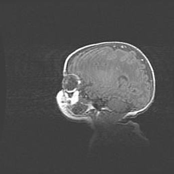
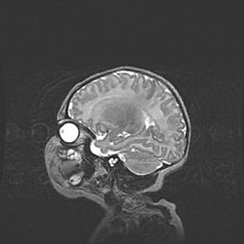
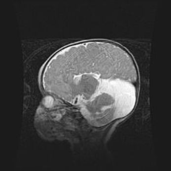
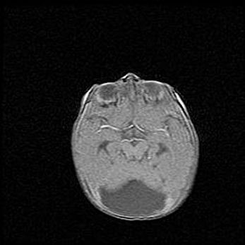
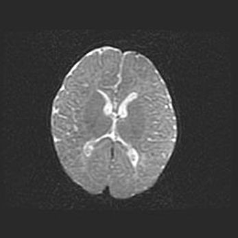
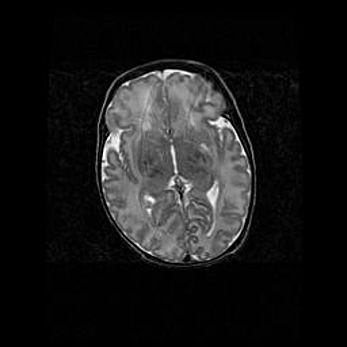
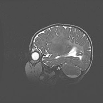
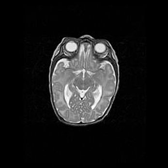
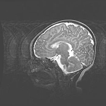
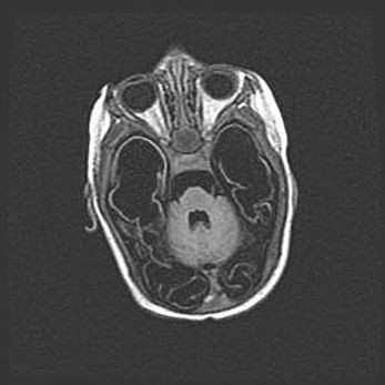
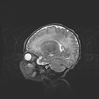
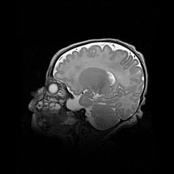
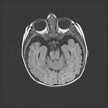
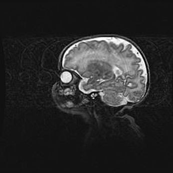
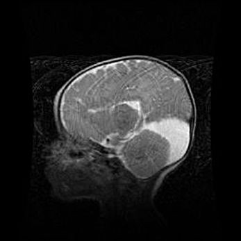
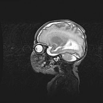
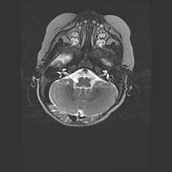
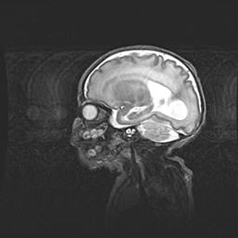
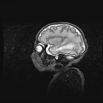
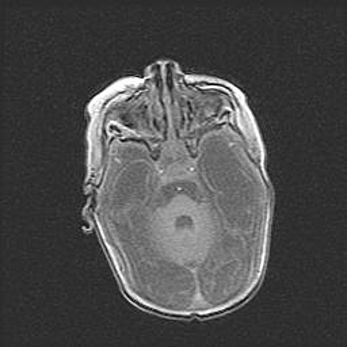
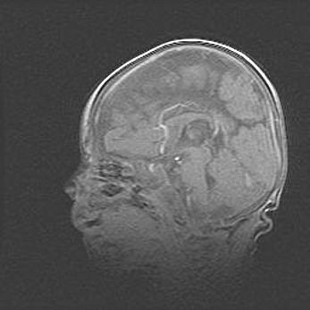
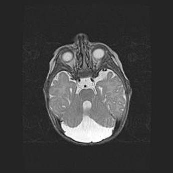
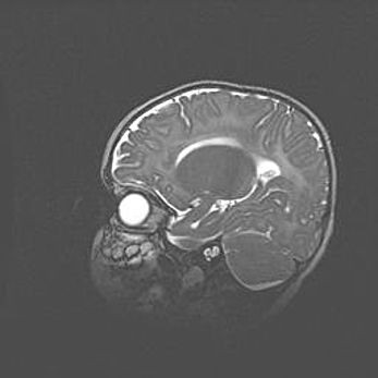
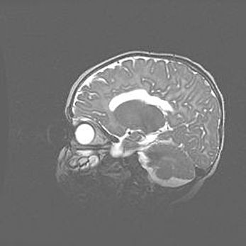
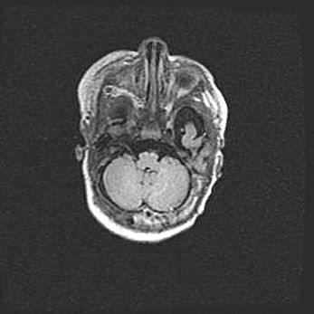
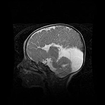
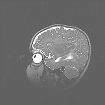
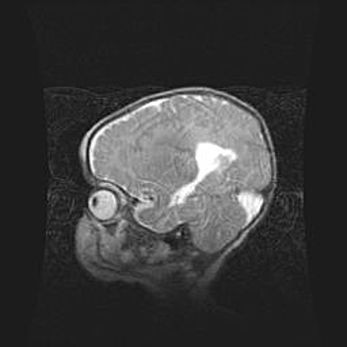
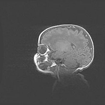
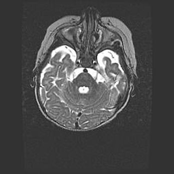
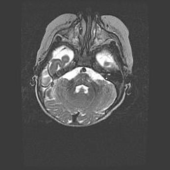
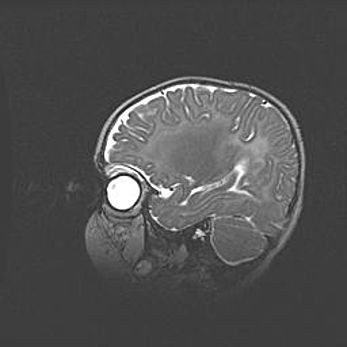
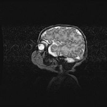
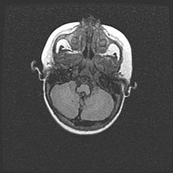
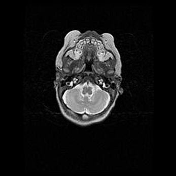
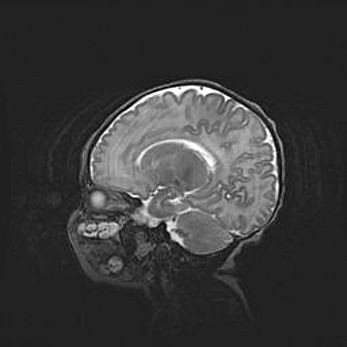
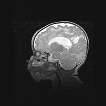
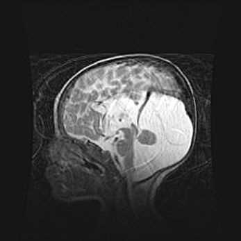
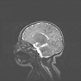
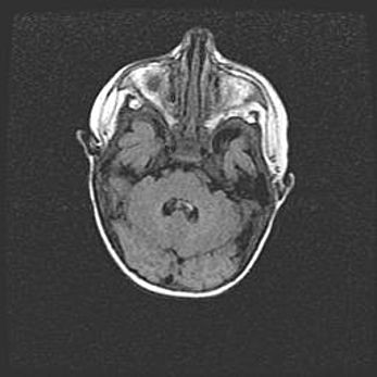
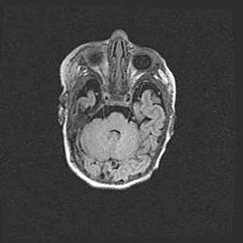
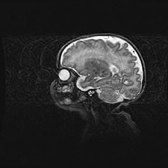
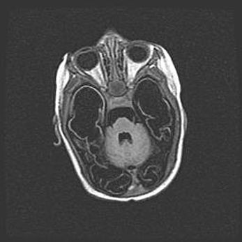
Мальформация Денди-Уокера. Киста задней черепной ямки. 
Агенезия мозолистого тела. 

Возраст: 2,5 месяца                                  
Вес: 2420 г
Пол: женский                                             
Окружность головы: 37 см
Срок гестации: 32 недели

Мальформация Денди—Уокера — редкий вид патологии ЦНС, представляющий собой врожденный порок развития каудального отдела ствола и червя мозжечка, ведущий к неполному раскрытию срединной (Мажанди) и латеральных (Лушка) апертур IV желудочка мозга. Для этогно синдрома характерна триада симптомов: гипотрофия червя мозжечка и/или полушарий мозжечка, кисты задней черепной ямки, гидроцефалия различной степени. В 70% случаев порок сочетается и с другими аномалиями головного мозга, в частности с агенезией мозолистого тела.

 
 

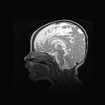
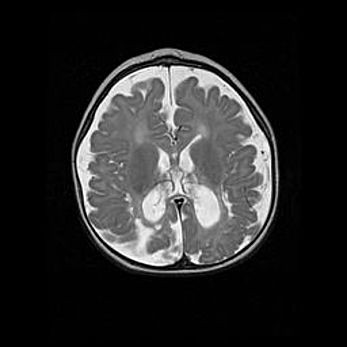
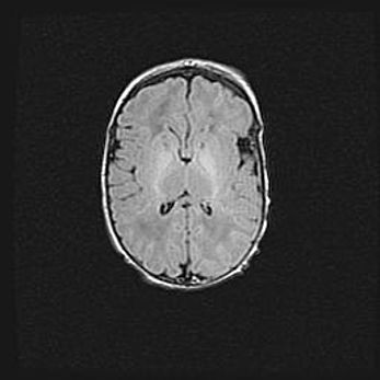
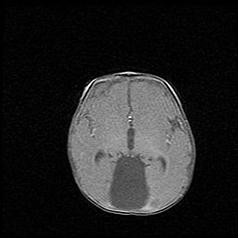
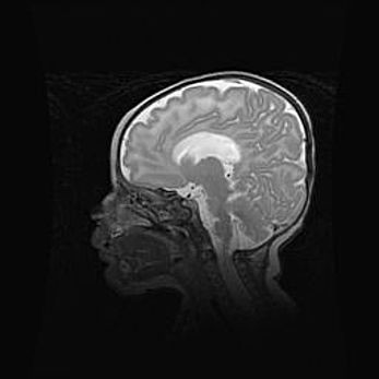
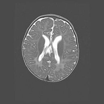
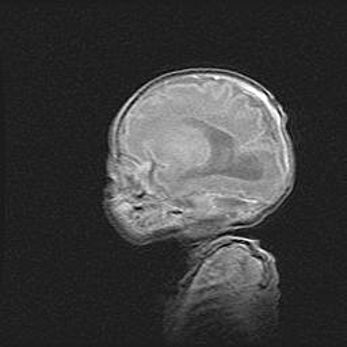
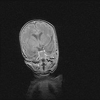
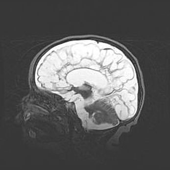
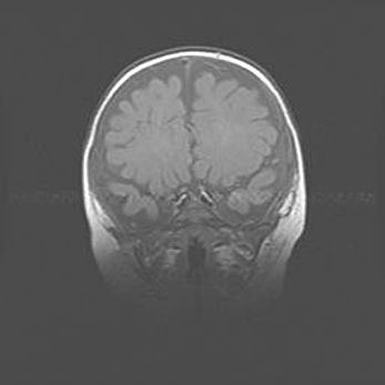
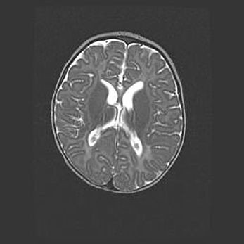
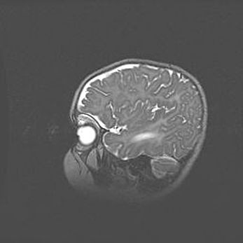
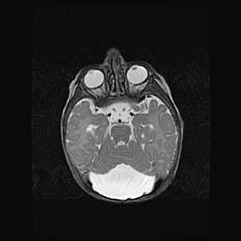
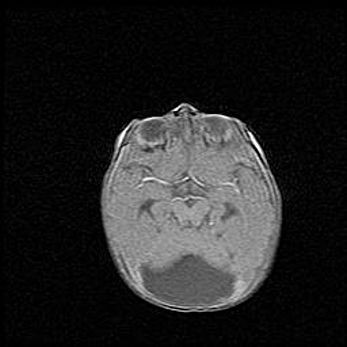
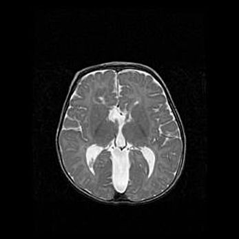
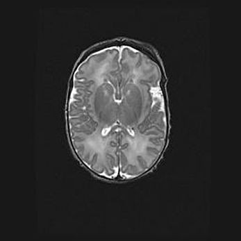
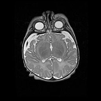
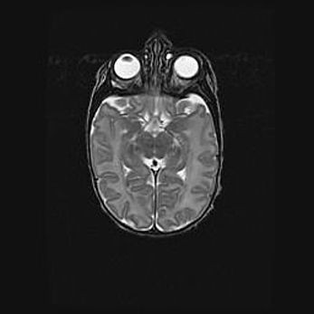
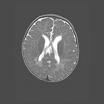
Открытая гидроцефалия. 

Возраст: 6 месяцев 15 дней                     
Вес: 6200 г
Пол: женский                                             
Окружность головы: 41 см
Срок гестации: 38 недель

Гидроцефалия головного мозга у новорожденных – это скопление избыточного количества цереброспинальной жидкости в головном мозге. Ее избыточное скопление в мозге приводит к патологическому расширению желудочков мозга (четырех полостей, расположенных в глубине белого вещества мозга, заполненных цереброспинальной жидкостью и связанных узкими проходами).   
Открытый тип гидроцефалии (сообщающаяся) наблюдается тогда, когда нарушен механизм всасывания ликвора в системный кровоток. При этом типе причиной заболевания чаще всего является перенесенные ранее инфекции (например: менингит),  либо же наличие крови в субарахноидальном пространстве.

 
 

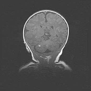
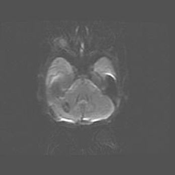
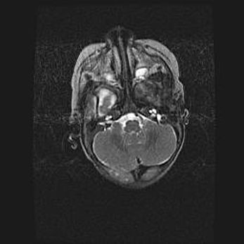
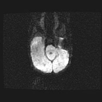
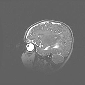
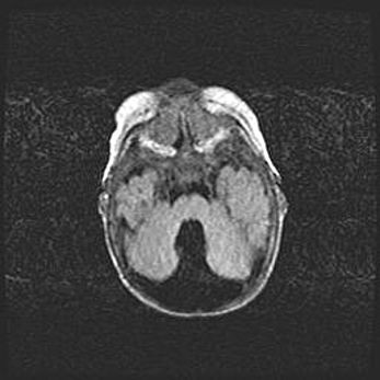
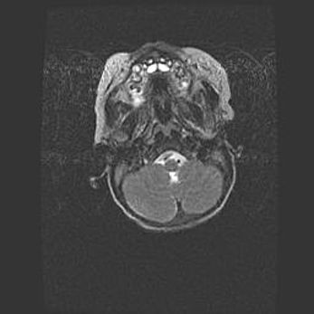
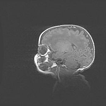
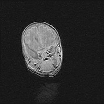
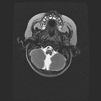
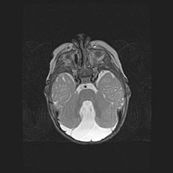
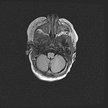
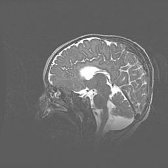
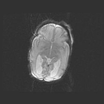
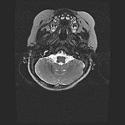
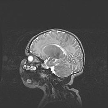
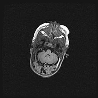
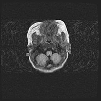
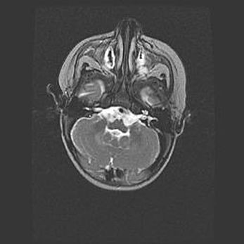
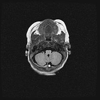
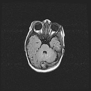
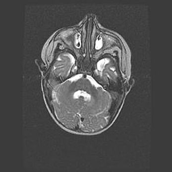
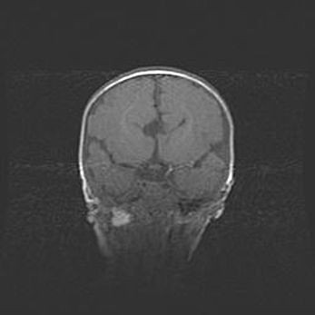
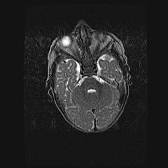
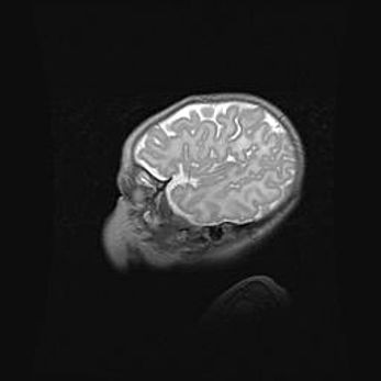
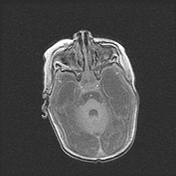
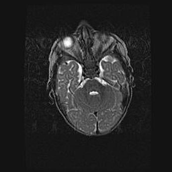
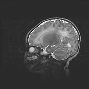
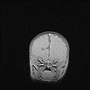
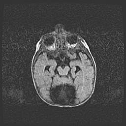
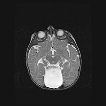
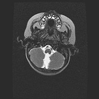
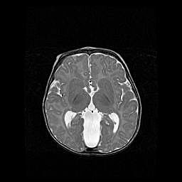
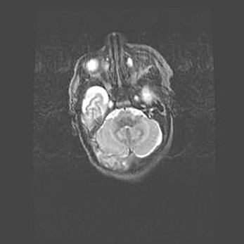
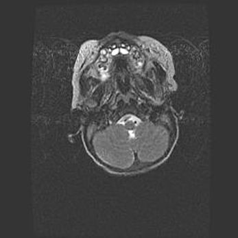
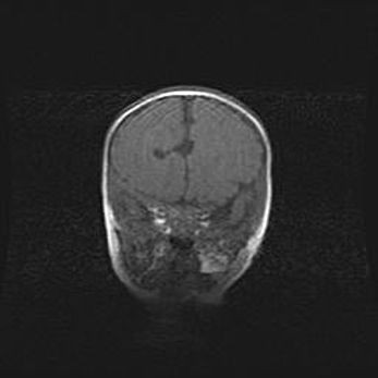
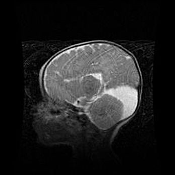
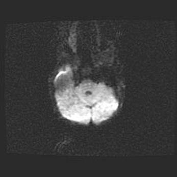
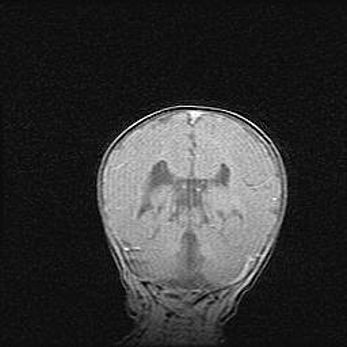
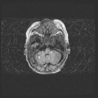
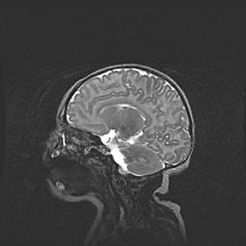
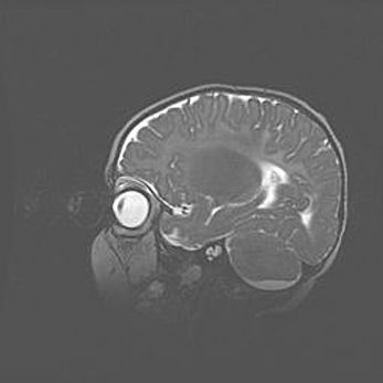
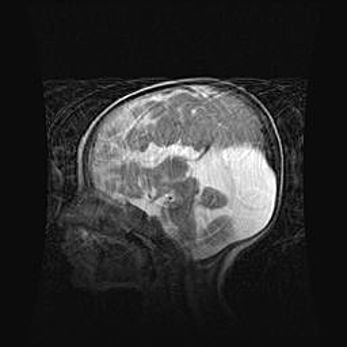
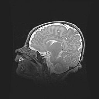
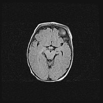
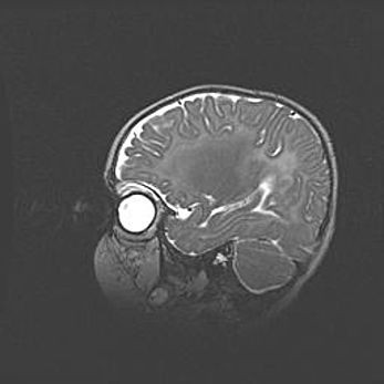
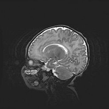
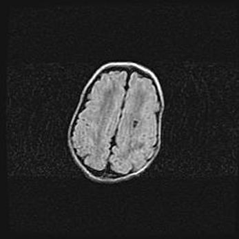
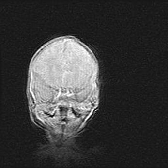
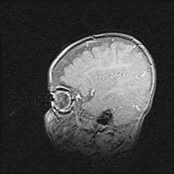
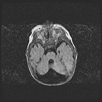
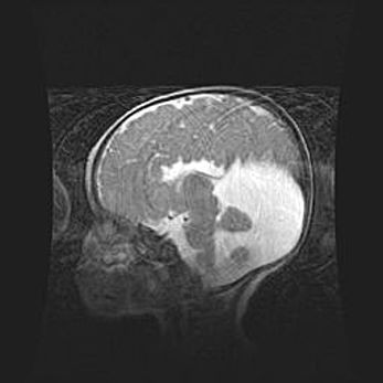
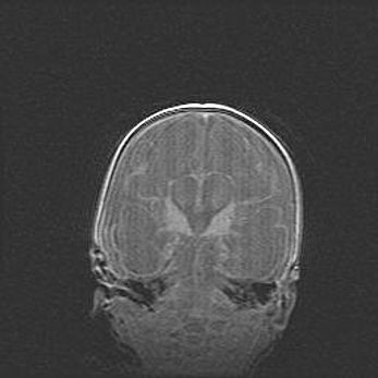
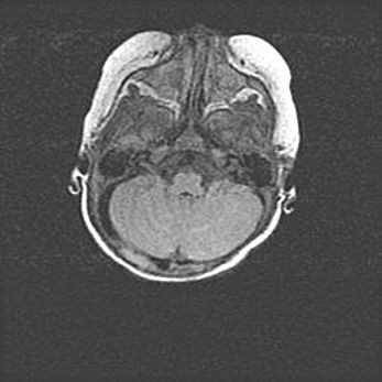
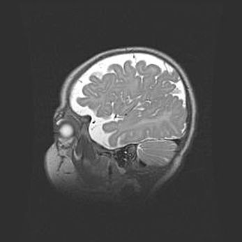
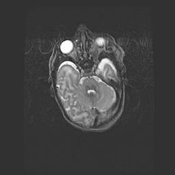
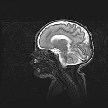
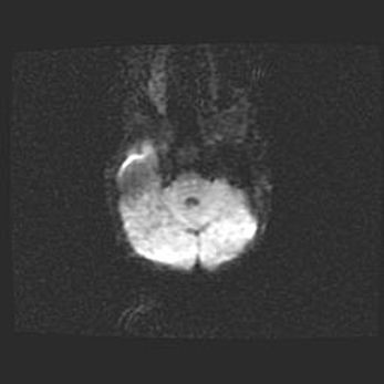
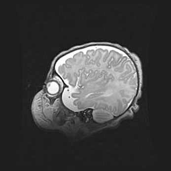
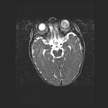
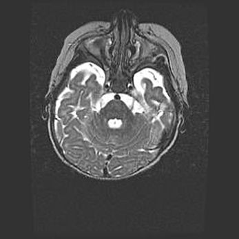
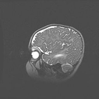
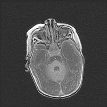
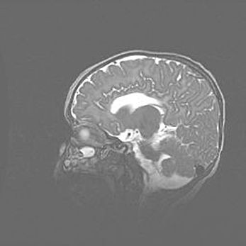
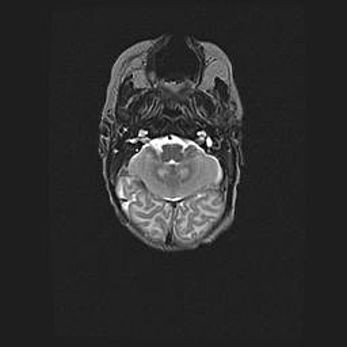
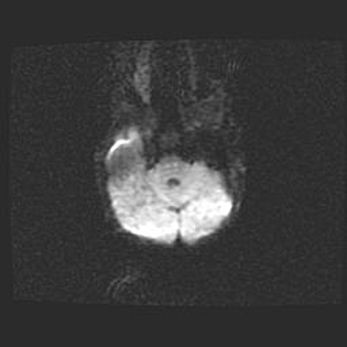
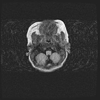
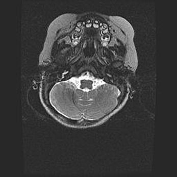
Подострая гематома правой гемисферы мозжечка. 
Наружная гидроцефалия. 

Возраст: 15 дней                                       
Вес: 3100 г
Пол: женский                                             
Окружность головы: 37 см
Срок гестации: 35-36 недель

При открытой наружной форме гидроцефалии у новорожденных расширяются и переполняются субарахноидные пространства.
Кровоизлияния в мозжечок имеют две клинико-анатомические формы: полушарные гематомы и кровоизлияния в червь.
К появлению этой патологии может привести: повреждения головного мозга, возникающие в результате асфиксии и гипоксии плода при беременности, или травмы во время родов. Редко гематома мозжечка может быть результатом первичной коагулопатии и сосудистой мальформации, диссеминированном внутрисосудистом свертывании, изоиммунной тромбоцитопении.

 
 

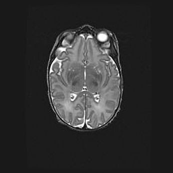
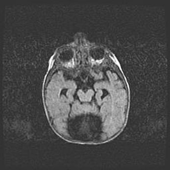
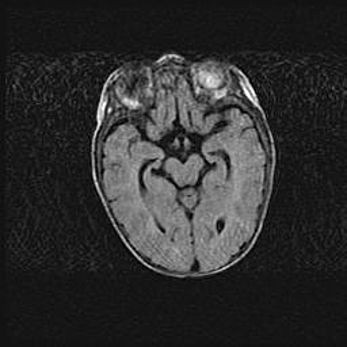
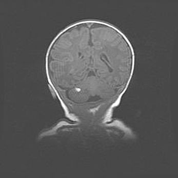
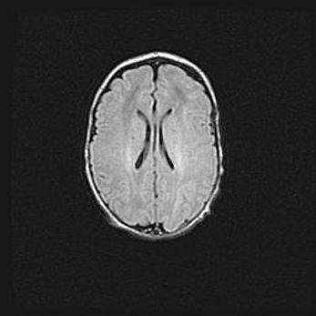
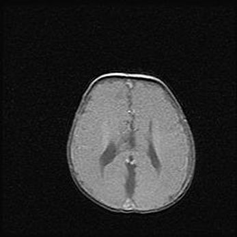
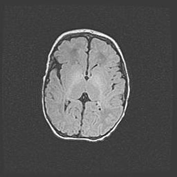
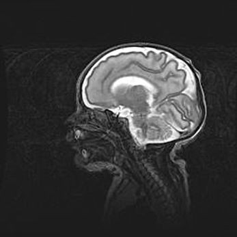
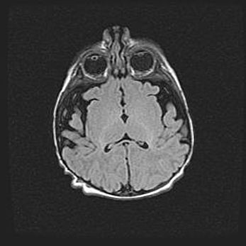
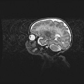
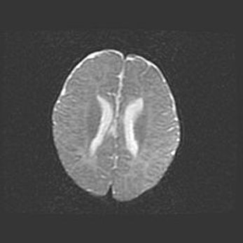
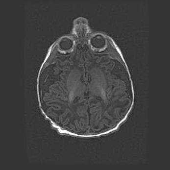
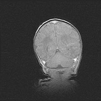
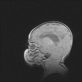
Ликворная киста прозрачной перегородки. 

Возраст: 11 дней                                       
Вес: 3400 г
Пол: мужской                                             
Окружность головы: 34 см
Срок гестации: 40 недель

Киста прозрачной перегородки – это полостное образование в виде капсулы с плотными стенками, наполненное жидкостью, и расположенное в полости головного мозга. Стенки кисты прозрачной перегородки состоят из клеток паутинной оболочки, а наполнена она ликвором – мозговой жидкостью.

 
 

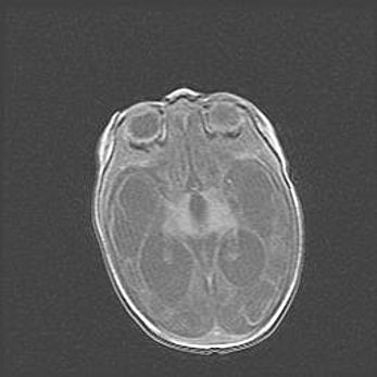
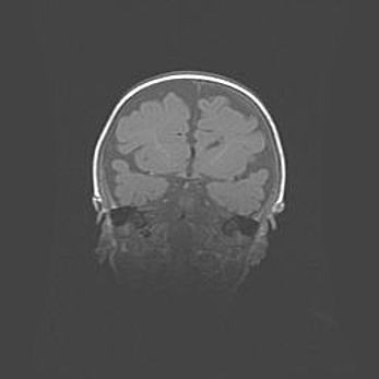
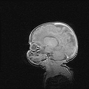
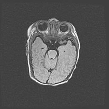
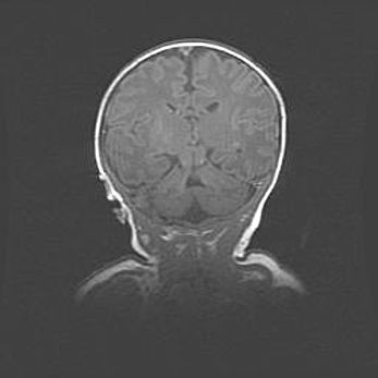
Киста прозрачной перегородки. 

Возраст: 8 дней                                         
Вес: 3800 г
Пол: мужской                                             
Окружность головы: 36 см
Срок гестации: 40 недель

Наиболее распространенными причинами появления кист прозрачной перегородки являются:
- аномальное внутриутробное развитие плода. Например, у недоношенных детей киста встречается в 100% случаев и только от своевременной диагностики и лечения зависит ее дальнейшая динамика,
- травмы головы, сопровождающиеся кровоизлиянием, сотрясением головного мозга,
-  инфекционные заболевания и воспаления головного мозга.

 
 

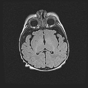
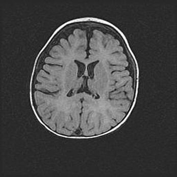
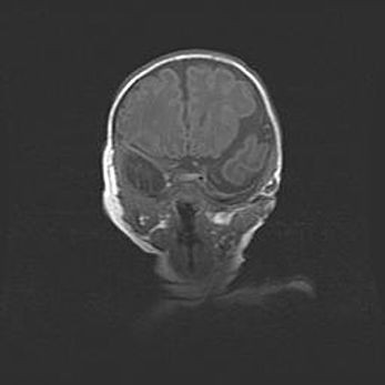
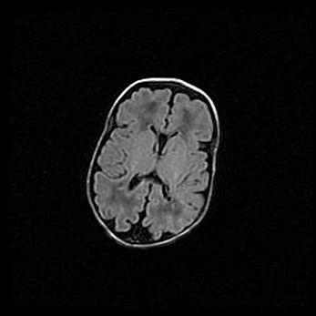
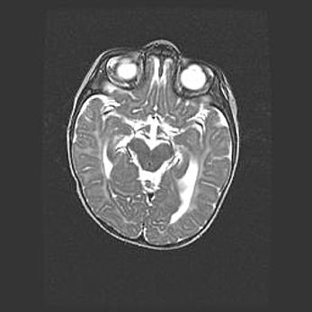
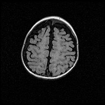
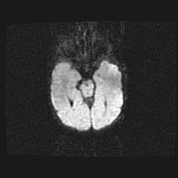
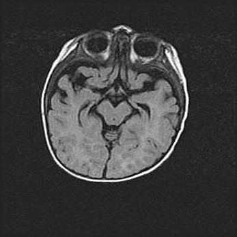
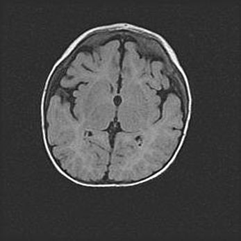
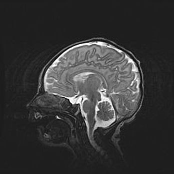
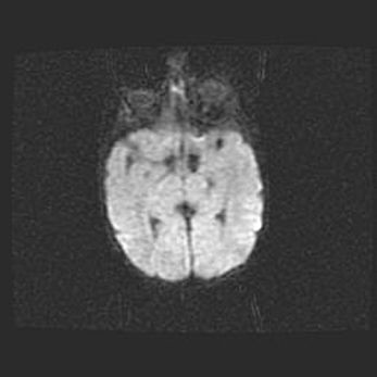
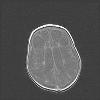
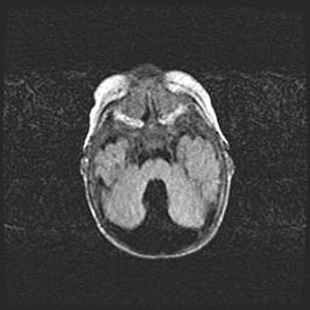
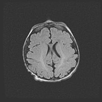
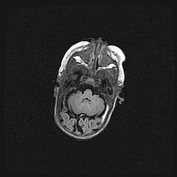
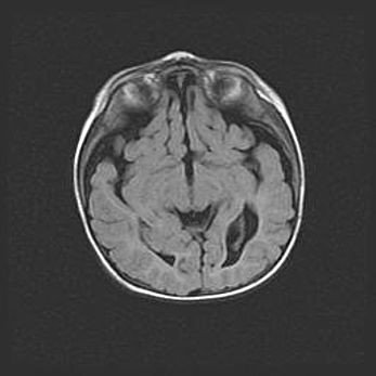
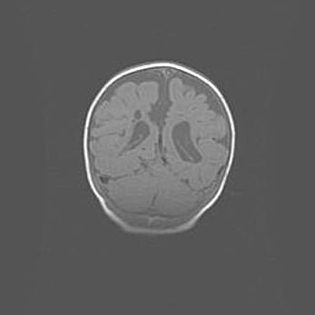
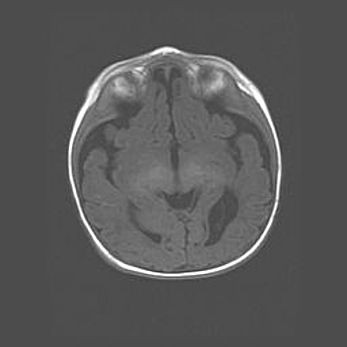
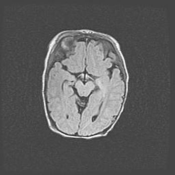
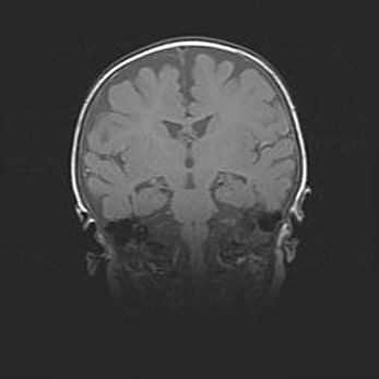
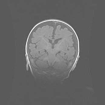
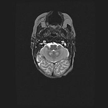
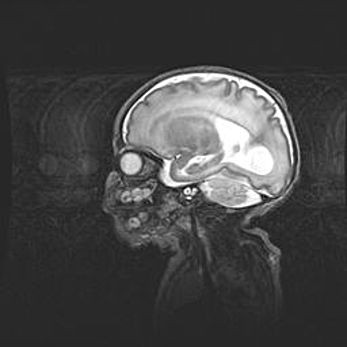
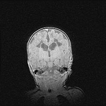
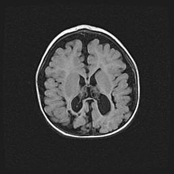
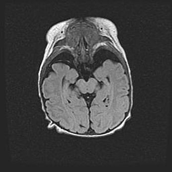
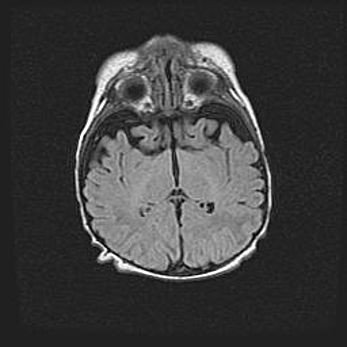
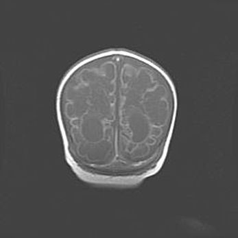
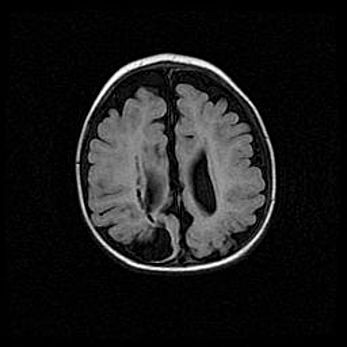
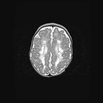
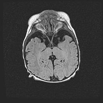
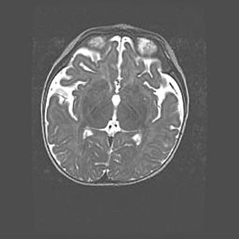
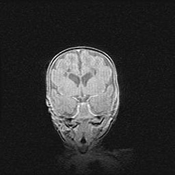
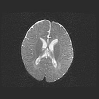
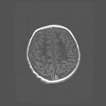
Неполная лизэнцефалия (пахигирия). Открытая гидроцефалия. 

Возраст: 17 дней                                        
Вес: 3110 г
Пол: мужской                                             
Окружность головы: 33,5 см
Срок гестации: 35-36 недель

Лизэнцефалия—недоразвитие корковой пластинки и мозговых извилин в результате нарушения миграции нейронов коры. Поверхность мозговых полушарий гладкая. Микроскопически выявляется отсутствие нормальных слоев коры и скопление групп нейронов в подкорковом белом веществе.
Пахигирия—уменьшение числа вторичных извилин. В пораженном полушарии нервные клетки образуют толстый недифференцированный слой с неправильно расположенными нервными волокнами и группами гетеротопных клеток. Нервные клетки незрелые. Белое вещество истончено. При этом нередко аномально развит корково-спинномозговой путь.

 
 

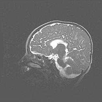
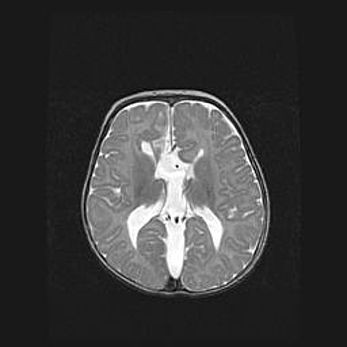
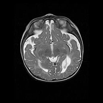
Сообщающаяся гидроцефалия. Кистозная энцефаломаляция головного мозга. 

Возраст: 3 месяца 4 дня                                        
Вес: 3100 г
Пол: женский                                             
Окружность головы: 34 см
Срок гестации: 31 неделя

Кистозная энцефаломаляция головного мозга - одна из форм поражения головного мозга в детском возрасте. Характеризуется возникновением множественных и распространённых кист в коре, белом веществе и подкорковых образованиях головного мозга у плодов, новорождённых и детей раннего возраста. Развитие кистозной энцефаломаляции связано с внутриутробной асфиксией и гипотонией, родовой травмой, тромбозом синусов, пороками развития сосудов, инфекциями, сепсисом и другими причинами. Наиболее значимые инфекционные агенты: вирусы простого герпеса, цитомегалии, краснухи, токсоплазмы, энтеробактерии, золотистый стафилококк и другие.

 
 

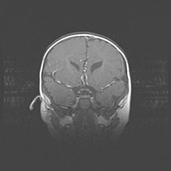
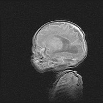
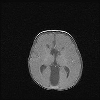
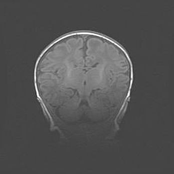
Открытая гидроцефалия. 

Возраст: 9 месяцев 12 дней                     
Вес: 6800 г
Пол: мужской                                             
Окружность головы: 41,5 см
Срок гестации: 28 недель

Гидроцефалия головного мозга у новорожденных имеет характерный признак: опережающий рост окружности головы приводит к визуально хорошо определяемой гидроцефальной форме сильно увеличенного в объёме черепа. Детские неврологи определяют следующие симптомы гидроцефалии у грудничков: выбухающий напряжённый родничок, частое запрокидывание головы, смещение глазных яблок к низу.

 
 

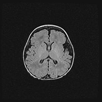
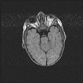
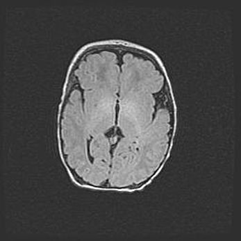
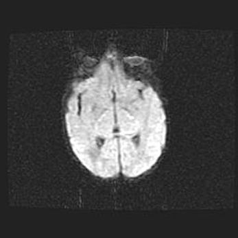
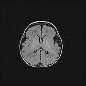
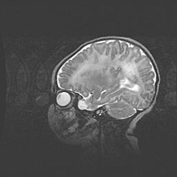
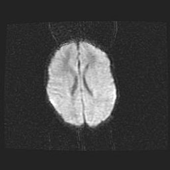
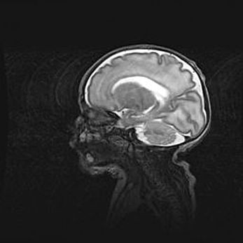
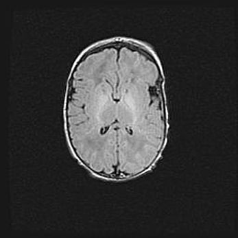
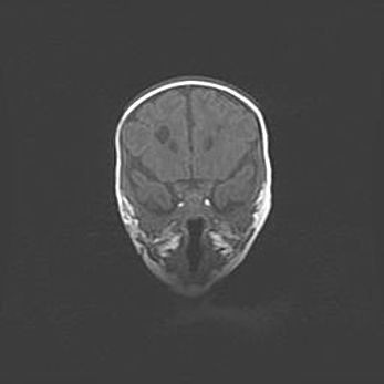
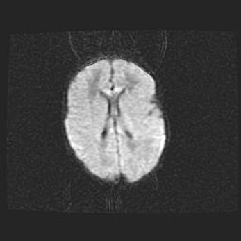
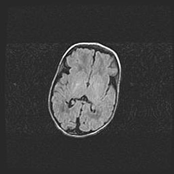
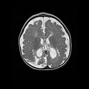
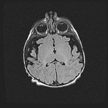
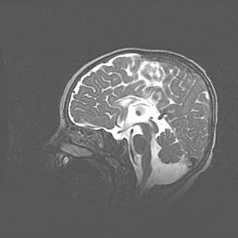
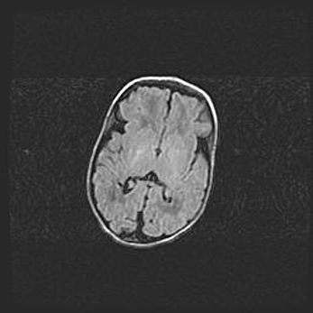
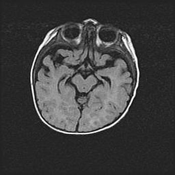
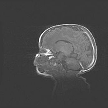
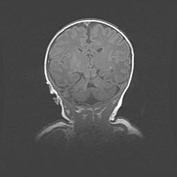
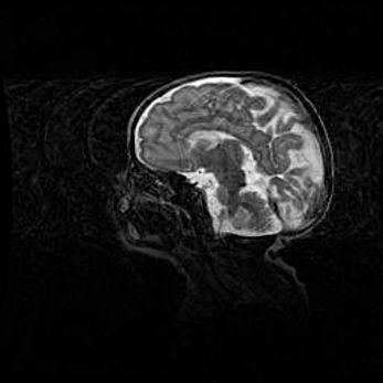
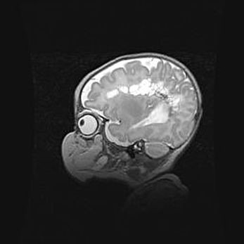
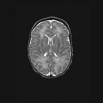
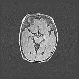
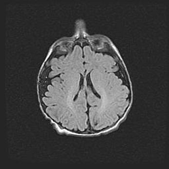
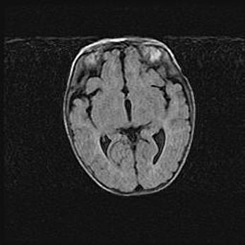
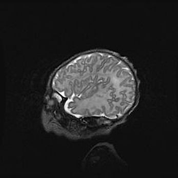
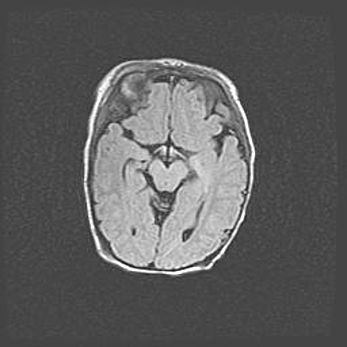
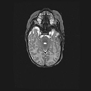
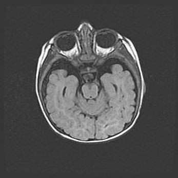
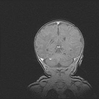
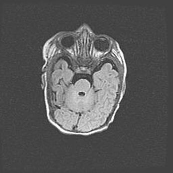
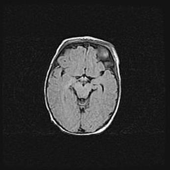
Церебральная ишемия II. 

Возраст: 7 дней                                         
Вес: 3350 г
Пол: женский                                             
Окружность головы: 35 см
Срок гестации: 39 недель

Ишемия головного мозга – это состояние, которое развивается в ответ на кислородное голодание вследствие недостаточного мозгового кровообращения. У новорожденных она является следствием дефицита кислорода, что ведет к метаболическим расстройствам различной степени тяжести в тканях головного мозга, в том числе к развитию коагуляционных некрозов и гибели нейронов.

 

+7(499)703-15-28

Адрес:

Общая информация:

Торговый отдел:

129110, Россия, г.Москва,
просп. Мира, д.39

[email protected]

[email protected]